U tủy thượng thận là một bệnh lý khá hiếm gặp, nhưng lại gây nhiều hệ quả nghiêm trọng lên huyết áp của cơ thể. Bệnh ảnh hưởng đến tim, não, phổi và thận của người bệnh, bệnh lý này khá nguy hiểm đối với bệnh nhân nếu không được phát hiện kịp thời sẽ gây ra những biến chứng khó lường.
Tổng quan chung
U tủy thượng thận là một khối u hiếm gặp của tuyến thượng thận. Khi đó, tuyến thượng thận tiết ra hormone adrenaline (epinephrine) và noradrenaline (norepinephrine), cùng với một số hormone khác như dopamine. Chúng có vai trò quan trọng trong cơ thể, đặc biệt trong các phản ứng cơ thể gây ra các chứng bệnh như: Tim đập nhanh, nhức đầu và ra mồ hôi. U tủy thượng thận chiếm một phần trong những nguyên nhân gây ra tăng huyết áp.
Hiên tại các nhà nghiên cứu vẫn chưa tìm ra nguyên nhân cụ thể gây ra bệnh u tủy thượng thận. Tuy nhiên, nghiên cứu đã cho thấy u tủy thượng thận có thể xuất phát từ sự quá sản của tuyến tủy thượng thận tạo thành khối u, hoặc phát triển các khối u tiết catecholamin nằm ngoài tuyến thượng thận (khối u từ động mạch cảnh, các khối u hạch thần kinh có nguồn gốc từ các hậu hạch thần kinh giao cảm, khối u trong bàng quang).
Triệu chứng của u tủy thượng thận
Bệnh u tủy thượng thận thường dẫn đến các cơn tăng huyết áp kịch phát. Biểu hiện bởi:
- Đau đầu dữ dội
- Nhịp tim nhanh
- Cơ thể ra nhiều mồ hôi, không chịu được nóng
- Run chân, tay
- Mặt tái đi, lo sợ
- Khi đo huyết áp tăng rất cao
- Mắt nhìn mờ, chóng mặt khi đứng
- Đau hai bên mạng mỡ
- Ăn uống kém dẫn đến sụt cân
- Thay đổi tính tình và cảm thấy mệt mỏi thường xuyên.

Các cơn xảy ra lẻ tẻ hàng tuần hoặc hàng tháng mới có một cơn, càng về sau xuất hiện càng nhiều và nặng hơn. Cơn kịch phát thường xảy ra đột ngột, mỗi cơn kéo dài vài phút, đôi khi tới hàng giờ hoặc lâu hơn, cũng có thể xảy ra khi người bệnh thay đổi tư thế, hoặc ép bụng, cúi gập người, hít sâu nhiều lần, vặn lưng,…
Nguyên nhân gây u tủy thượng thận
Đa số u tủy thượng thận là lành tính (không phải ung thư). Tuy nhiên, có khoảng 10% đến 15% có liên quan đến khả năng di căn và được xem như là một loại ung thư ở vùng thượng thận.
Hiện nay, các nhà khoa học vẫn chưa tìm được nguyên nhân chính xác gây u tủy thượng thận. Các nghiên cứu cho thấy, khoảng 25% – 35% những người mắc bệnh lý này có tình trạng di truyền và nằm trong một số hội chứng bao gồm:
- Đa u tuyến nội tiết tuýp 2 (MEN 2): là một rối loạn dẫn đến xuất hiện nhiều khối u của hệ thống nội tiết. Có hai túyp MEN 2 gồm túyp 2A và típ 2B, cả hai đều liên quan đến u tủy thượng thận. Các khối u liên quan đến tình trạng này có thể xuất hiện trên các bộ phận khác của cơ thể, bao gồm tuyến giáp, tuyến cận giáp, môi, lưỡi và hệ tiêu hóa.
- Bệnh Von Hippel-Lindau (VHL): có thể gây ra các khối u tại nhiều vị trí, bao gồm hệ thần kinh trung ương, hệ nội tiết, tuyến tụy và thận.
- U xơ thần kinh type 1 (NF1): gây ra nhiều khối u trên da (u sợi thần kinh), các đốm da tăng sắc tố và các khối u của dây thần kinh thị giác.
- Hội chứng Paraganglioma di truyền: là những rối loạn di truyền dẫn đến u tủy thượng thận hoặc u cận hạch giao cảm.

Đối tượng nguy cơ mắc u tủy thượng thận
Bệnh U tuyến thượng thận thường gặp ở những người trẻ tuổi (từ 20 – 50 tuổi). Những người mắc phải các rối loạn di truyền có khả năng mắc bệnh cao hơn. Một số rối loạn di truyền gây ra nguy cơ mắc bệnh như: U tân sinh đa tuyến nội tiết, u sợi thần kinh…
Bệnh u tủy tuyến thượng thận xuất hiện nhiều hơn trên những người có các rối loạn bệnh lý khác như: Bệnh Von Hippel-Lindau, Bệnh u sợi thần kinh loại 1, Bệnh u hạch đối giao cảm di truyền, Bệnh u tân sinh đa tuyến nội tiết.
Chẩn đoán u tủy thượng thận
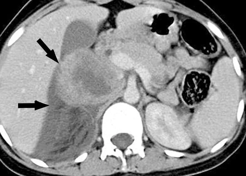
- Chẩn đoán hình ảnh: Các kỹ thuật chẩn đoán hình ảnh công nghệ cao như CT scan, MRI, PET giúp phát hiện và tầm soát các khối u với độ chính xác cao.
- Xét nghiệm sinh hóa: Định lượng nồng độ các hormon tuyến thượng thận giúp đưa ra định hướng phục vụ cho chẩn đoán bệnh. Trong quá trình chuẩn đoán người bệnh cần tuân theo sự hướng dẫn của nhân viên y tế để có kết quả chính xác nhất.
- Xét nghiệm di truyền: Việc xét nghiệm di truyền giúp cho việc xác định u tuyến thượng thận có liên quan đến các bệnh lý di truyền hay không để đưa ra phương hướng điều trị cần thiết đồng thời nêu ra việc sàng lọc u tuyến thượng thận với các thành viên trong gia đình.
- Thăm khám lâm sàng và chụp X-quang xương: Để phát hiện các biểu hiện bệnh ở xương cũng như các triệu chứng thần kinh đi kèm. Ngoài ra có thể xét nghiệm máu để đo các chỉ số Vitamin D, Canxi, Photpho đánh giá sự thiếu hụt để định hướng điều trị cho phù hợp.

Phòng ngừa bệnh
Bệnh u tủy thượng thận cũng giống như các bệnh nội tiết khác, để phòng tránh bệnh thì điều quan trọng là:
- Cần xây dựng một chế độ ăn uống và lối sống khoa học, khỏe mạnh
- Nếu trong gia đình có người thân bị mắc các bệnh u nội tiết thì tất cả các thành viên nên được khám tầm soát bằng các xét nghiệm cận lâm sàng
- Khi thấy mắt mờ, đau đầu nặng, yếu 1 nửa cơ thể, đau ngực, tăng nhịp tim, mắt cá chân phù lên, khó thở, yếu trong người và chóng mặt khi đứng lên thì nên đến bệnh viện sớm.

Điều trị như thế nào?
Hơn 90% các trường hợp bị u tủy thượng thận nếu được phát hiện sớm có thể điều trị khỏi hoàn toàn bằng phẫu thuật cắt bỏ khối u.
Trước khi phẫu thuật, bệnh nhân sẽ được điều trị nội khoa bằng các thuốc chẹn alpha giao cảm để ổn định huyết áp mới được phẫu thuật.
Trong điều trị u tủy thượng thận các thuốc dùng để khống chế huyết áp. Trong đó thuốc chẹn alpha giao cảm là lựa chọn đầu tiên.
Sau phẫu thuật có thể có các biến chứng như chảy máu, nhiễm trùng,… tuy nhiên điều này rất hiếm khi xảy ra.
Bài viết trên đã cung cấp một số các thông tin về U tủy thượng thận và những điều cần biết xung quanh căn bệnh này. Hy vọng bài viết đem lại những kiến thức đối với bạn đọc để bạn có thể cải thiện tình trạng bệnh và điều trị kịp thời.
Lưu ý: Thông tin trong bài viết chỉ mang tính chất tham khảo, vui lòng liên hệ với Bác sĩ, Dược sĩ hoặc Chuyên viên Y tế để được tư vấn cho từng trường hợp Bệnh cụ thể, tuyệt đối không làm theo hướng dẫn trong bài viết.



