Tổng quan chung
Hội chứng Sturge-Weber (SWS còn có tên là u mạch não thần kinh sinh ba) là một rối loạn bẩm sinh hiếm gặp, không di truyền, được phát hiện lần đầu vào năm 1879. Bệnh được đặc trưng bởi sự hiện diện của các vết bớt màu rượu vang (port-wine stain) trên da, thường là ở mặt, cùng với các bất thường mạch máu trong não và mắt. Các triệu chứng và mức độ ảnh hưởng của SWS rất đa dạng và có thể thay đổi tùy theo từng trường hợp cụ thể.
Triệu chứng
Các triệu chứng chính của hội chứng Sturge-Weber bao gồm:
- Vết bớt màu rượu vang (Port-wine stain): Đây là triệu chứng phổ biến nhất, thường xuất hiện ở vùng mặt và có màu đỏ hoặc tím, không biến mất theo thời gian.
- Động kinh: Khoảng 75-90% bệnh nhân mắc SWS có biểu hiện động kinh, thường bắt đầu trong những năm đầu đời.
- Tăng áp lực nội sọ: Do các bất thường về mạch máu trong não, bệnh nhân có thể bị tăng áp lực nội sọ, gây ra các triệu chứng như nhức đầu, buồn nôn và nôn mửa.
- Các vấn đề về mắt: Bệnh nhân có thể gặp các vấn đề như glaucoma (tăng nhãn áp), mất thị lực, và các bất thường khác về mắt.
- Chậm phát triển và các vấn đề về học tập: Một số bệnh nhân có thể gặp khó khăn trong học tập và phát triển trí tuệ.

Nguyên nhân
Nguyên nhân chính xác của hội chứng Sturge-Weber vẫn chưa được xác định rõ ràng. Tuy nhiên, các nghiên cứu đã chỉ ra rằng bệnh có liên quan đến đột biến ngẫu nhiên của gen GNAQ trong quá trình phát triển phôi thai. Đột biến này dẫn đến sự phát triển bất thường của mạch máu trong da, não và mắt.
Đối tượng nguy cơ
Hội chứng Sturge-Weber là một bệnh lý bẩm sinh, không có yếu tố di truyền, do đó không có nhóm đối tượng nguy cơ cụ thể nào có khả năng mắc bệnh cao hơn. Tuy nhiên, sự xuất hiện của các triệu chứng có thể thay đổi tùy theo từng cá nhân.
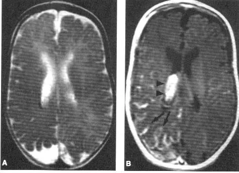
Chẩn đoán hội chứng Sturge-Weber
Chẩn đoán hội chứng Sturge-Weber thường dựa trên các biểu hiện lâm sàng (như bớt rượu vang đặc trưng) và các kỹ thuật hình ảnh y học như:
- Chụp cộng hưởng từ (MRI): Đây là phương pháp chính để xác định các bất thường mạch máu trong não.
- Chụp cắt lớp vi tính (CT scan): Giúp phát hiện các bất thường về cấu trúc não.
- Kiểm tra mắt: Để phát hiện các vấn đề về mắt như glaucoma.
Các xét nghiệm khác có thể bao gồm điện não đồ (EEG) để kiểm tra hoạt động điện của não và các xét nghiệm huyết học để đánh giá tình trạng sức khỏe tổng quát.

Phòng ngừa bệnh
Hiện tại, không có biện pháp phòng ngừa cụ thể cho hội chứng Sturge-Weber do đây là một rối loạn bẩm sinh. Việc phát hiện sớm và kiểm soát tốt các triệu chứng là quan trọng nhất để cải thiện chất lượng cuộc sống của bệnh nhân.
Điều trị như thế nào?
Điều trị hội chứng Sturge-Weber tập trung vào việc kiểm soát các triệu chứng và cải thiện chất lượng cuộc sống cho bệnh nhân. Các phương pháp điều trị bao gồm:
- Điều trị động kinh: Sử dụng thuốc chống co giật để kiểm soát cơn động kinh. Trường hợp nặng có thể cần phẫu thuật để loại bỏ các vùng não bị ảnh hưởng.
- Điều trị vết bớt màu rượu vang: Sử dụng laser để làm mờ hoặc loại bỏ các vết bớt trên da.
- Điều trị glaucoma: Sử dụng thuốc hoặc phẫu thuật để giảm áp lực trong mắt.
- Điều trị các vấn đề về phát triển và học tập: Cung cấp hỗ trợ giáo dục và các liệu pháp phục hồi chức năng.
Kết luận
Hội chứng Sturge-Weber là một bệnh lý hiếm gặp và phức tạp, nhưng với sự tiến bộ trong y học, nhiều phương pháp điều trị hiệu quả đã được phát triển để giúp bệnh nhân kiểm soát các triệu chứng và cải thiện chất lượng cuộc sống. Nếu bạn hoặc người thân của bạn nghi ngờ mắc hội chứng này, hãy tìm kiếm sự tư vấn và chăm sóc từ các chuyên gia y tế để được chẩn đoán và điều trị kịp thời. Quan trọng nhất là luôn duy trì một tâm lý lạc quan và kiên nhẫn trong quá trình điều trị.
Xin lưu ý: Thông tin trong bài viết chỉ mang tính chất tham khảo. Độc giả vui lòng liên hệ với Bác sĩ, Dược sĩ hoặc chuyên viên y tế để được tư vấn cụ thể và chính xác nhất.
Lưu ý: Thông tin trong bài viết chỉ mang tính chất tham khảo, vui lòng liên hệ với Bác sĩ, Dược sĩ hoặc Chuyên viên Y tế để được tư vấn cho từng trường hợp Bệnh cụ thể, tuyệt đối không làm theo hướng dẫn trong bài viết.



