Viêm phổi do tụ cầu khuẩn là bệnh nhiễm khuẩn rất nặng, có tỷ lệ tử vong cao. Người bị nhiễm tụ cầu vào phổi qua hai đường: hít thở tụ cầu vào theo đường hô hấp hoặc tụ cầu từ các ổ nhiễm khuẩn da hay cơ quan khác theo đường máu vào phổi. Mùa nắng nóng, mồ hôi ra nhiều, tụ cầu thường gây viêm da rồi gây viêm phổi.
Tổng quan chung
Viêm phổi tụ cầu là bệnh do vi khuẩn tụ cầu tấn công vào phổi và gây bệnh. Trong các loại vi khuẩn tụ cầu, tụ cầu vàng là loại thường gặp gây ra nhiều bệnh liên quan đến nhiễm trùng ở người, trong đó có viêm phổi cấp tính.
Tụ cầu vàng là loại vi khuẩn nguy hiểm, sống ký sinh ở lớp niêm mạc của đường hô hấp trên như mũi, họng và chúng cũng có thể tồn tại ở bề mặt da của cơ thể. Khi tấn công và xâm nhập vào phổi, tụ cầu gây ra nhiều ổ viêm nhiễm trùng nghiêm trọng ở tiểu phế quản và phế quản, dẫn đến hoại tử và xuất huyết. Tại các ổ viêm phổi tụ cầu, nhiều bạch cầu hạt trung tính gây ra tình trạng phù nề và tạo thành các ổ áp xe, có thể dẫn đến phá hủy thành của các phế nang.
Ngoài phổi, có một số loại tụ cầu có khả năng tấn công vào máu và gây nhiễm khuẩn huyết rất nghiêm trọng.
Viêm phổi tụ cầu là bệnh hiếm gặp nhưng mọi đối tượng đều có khả năng nhiễm bệnh, đặc biệt là những người có sức đề kháng kém như người già và trẻ nhỏ. Bệnh chủ yếu lây trực tiếp từ người sang người thông qua đường hô hấp, bệnh cũng có thể lây truyền qua đường máu.
Triệu chứng
Các biểu hiện viêm phổi do vi khuẩn tụ cầu thường khởi đầu đột ngột, bao gồm:
- Sốt cao (gặp ở 80% người bệnh, tuy nhiên, người lớn tuổi thường không có triệu chứng này hoặc có thể bị hạ thân nhiệt).
- Ho dữ dội, ho khạc đờm nhầy hoặc mủ vàng
- Đau ngực
- Các dấu hiệu suy hô hấp bao gồm khó thở, thở nhanh, thở khò khè, tím tái và co rút cơ
- Nôn mửa, tiêu chảy và chướng bụng (đôi khi)
- Suy kiệt nhanh chóng
- Tổn thương da tại điểm xâm nhập của vi khuẩn.

Nguyên nhân
S. aureus chính là nguyên nhân gây bệnh. Đây là loại vi khuẩn nguy hiểm hàng đầu do có độc tính cao, có khả năng sản xuất enzyme protease, lipase, hyaluronidase,… làm suy yếu vật chủ và tăng khả năng sống sót của vi khuẩn. Một số chủng còn có khả năng tạo ra protein đề kháng với kháng sinh methicillin – được gọi là tụ cầu vàng kháng thuốc (MRSA).
Một người bị nhiễm vi khuẩn tụ cầu vào phổi thông qua hai đường:
- Hít thở tụ cầu vào theo đường hô hấp
- Tụ cầu từ các ổ nhiễm khuẩn da hay cơ quan khác theo đường máu vào phổi, rồi gây viêm phổi.
Đối tượng nguy cơ
Các nhà nghiên cứu cho biết, đối tượng dễ bị viêm phổi do tụ cầu là: những người do điều kiện sống nghèo khổ, vệ sinh kém, người có thói quen dùng thuốc kháng sinh bừa bãi, bệnh nhân nằm viện lâu ngày. Sống nghèo khổ thì kém sức đề kháng, kèm theo điều kiện vệ sinh kém dễ bị viêm da, mụn nhọt do tụ cầu, từ đó dễ bị viêm phổi do tụ cầu vào theo đường máu. Những người tùy tiện mua thuốc kháng sinh uống không có chỉ định của bác sĩ, dùng thuốc không đúng liều lượng, không những không khỏi bệnh mà còn làm cho tụ cầu kháng thuốc rất nguy hiểm. Bệnh nhân nằm viện nếu phải luồn ống thông vào khí quản rất dễ bị nhiễm virus ở đường hô hấp và dễ bị nhiễm tụ cầu, bởi virus làm giảm chức năng lông chuyển đường hô hấp để dọn dẹp tụ cầu.
Chẩn đoán
Để chẩn đoán bệnh viêm phổi tụ cầu, người bệnh sẽ được chỉ định thực hiện các xét nghiệm như chụp X quang, chụp CT, xét nghiệm máu, nước tiểu, cấy đờm dịch ở phổi, thậm chí có thể tiến hành sinh thiết tổn thương ở phổi.
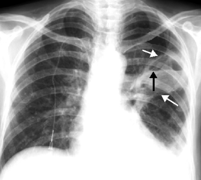
Trong đó, chụp X quang là kỹ thuật chẩn đoán hình ảnh đầu tay, cơ bản và có giá trị cho phép quan sát tổn thương bên trong phổi. Bác sĩ sẽ sử dụng máy chụp X quang để phát ra tia X – là tia có bước sóng ngắn với khả năng đâm xuyên mạnh để đi qua các tế bào mô mềm và dịch, từ đó thu được hình ảnh của phổi.
Với kỹ thuật này, trên hình ảnh X quang viêm phổi tụ cầu cho thấy xuất hiện nhiều ổ viêm (những đám mờ màu trắng) có hình tròn, không đều nhau về mặt kích thước và không đối xứng hai bên phổi. Ngoài ra, khi thực hiện cấy đờm, máu, dịch màng phổi sẽ thấy sự xuất hiện của các vi khuẩn tụ cầu.

Phòng ngừa bệnh
Bệnh viêm phổi tụ cầu có thể được phòng ngừa bằng các biện pháp sau:
- Giữ gìn vệ sinh cá nhân và môi trường sống xung quanh để hạn chế sự phát triển của vi khuẩn gây bệnh.
- Ăn uống đầy đủ chất dinh dưỡng và thường xuyên tập luyện để nâng cao sức đề kháng, hệ miễn dịch, bảo vệ cơ thể trước những tác nhân gây bệnh.
- Tránh tự ý sử dụng kháng sinh, chỉ nên dùng thuốc kháng sinh khi có chỉ định của bác sĩ theo đúng hướng dẫn cách dùng và liều lượng.
- Chụp X quang viêm phổi tụ cầu là một trong những phương pháp chính được thực hiện để chẩn đoán phát hiện bệnh bên cạnh các xét nghiệm máu, dịch đờm. Hình ảnh chụp được sẽ cho thấy các ổ viêm ở hai bên phổi do tụ cầu khuẩn gây ra với hình dáng tròn không đều và không đối xứng.
Điều trị như thế nào?
Điều trị viêm phổi do vi khuẩn tụ cầu phụ thuộc vào chủng vi khuẩn có kháng kháng sinh methicillin hay không. Nếu không thể xác nhận nguyên nhân do tụ cầu hoặc trong khi chờ xác nhận, bác sĩ sẽ sử dụng phác đồ điều trị theo kinh nghiệm gồm các kháng sinh có phổ kháng khuẩn rộng để có thể bao phủ được nhiều tác nhân gây bệnh.
Kháng sinh fluoroquinolon hô hấp (levofloxacin, moxifloxacin) cũng đáp ứng các tiêu chí. Tuy nhiên, chúng là các kháng sinh mới, chưa bị đề kháng nhiều nên chỉ sử dụng giới hạn để dự trữ. Đối với viêm phổi mắc phải tại bệnh viện, phác đồ phức tạp hơn do tính chất kháng thuốc của vi khuẩn bệnh viện.
Viêm phổi do vi khuẩn tụ cầu Staphylococcus aureus là một bệnh lý nghiêm trọng, tỷ lệ tử vong cao. Bệnh cũng đòi hỏi việc chẩn đoán và điều trị rất phức tạp. Thực hiện các biện pháp phòng ngừa và nắm rõ các dấu hiệu của bệnh là cách tốt nhất bạn có thể làm để phát hiện sớm bệnh và giảm thiểu nguy cơ mắc bệnh.
Xin lưu ý: Thông tin trong bài viết chỉ mang tính chất tham khảo. Độc giả vui lòng liên hệ với Bác sĩ, Dược sĩ hoặc chuyên viên y tế để được tư vấn cụ thể và chính xác nhất.
Lưu ý: Thông tin trong bài viết chỉ mang tính chất tham khảo, vui lòng liên hệ với Bác sĩ, Dược sĩ hoặc Chuyên viên Y tế để được tư vấn cho từng trường hợp Bệnh cụ thể, tuyệt đối không làm theo hướng dẫn trong bài viết.



