U men xương hàm là một dạng khối u lành tính, thường xảy ra ở hàm dưới. Bệnh phát triển một cách âm thầm nên rất khó nhận biết. Ở giai đoạn nặng, bệnh có thể làm biến dạng khuôn mặt, thậm chí chuyển thành u ác tính và di căn sang những bộ phận khác. Do đó, việc phát hiện và điều trị sớm u men xương là điều rất cần thiết. Ở bài viết sau, sẽ cung cấp thông tin cần biết về u men xương hàm.
Tổng quan chung u men xương hàm
U men xương hàm là gì?
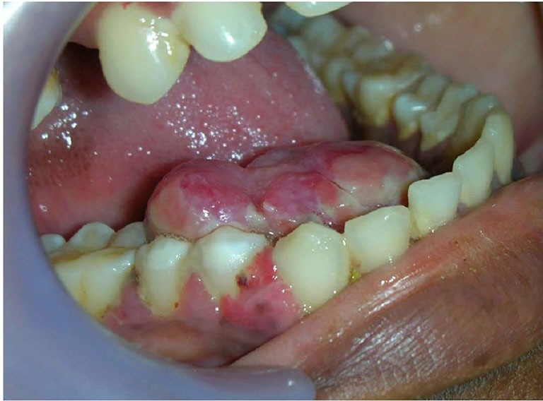
U men xương hàm (Ameloblastoma) là một khối u nằm ở khoảng trống phía sau răng hoặc hàm. Khối u men phát triển khá chậm và đa phần là lành tính.
Bệnh lý trên thường gặp ở những người trẻ từ 20 – 30 tuổi, đặc biệt là nam giới. U men chiếm khoảng 50% trong tổng số các khối u lành tính ở xương hàm mặt. Bệnh thường khởi phát do các tế bào tạo nên lớp men lót bảo vệ trên răng. Chúng biệt hóa theo kiểu dị thường, tạo thành u men.
Mặc dù nằm trong nhóm bệnh lý lành tính nhưng u men xương hàm có tỷ lệ tái đi tái lại rất cao, lên đến 90%. Khi bị u men, bạn tuyệt đối không được chủ quan vì khối u vẫn có thể chuyển sang ác tính, di căn vào máu cùng những cơ quan khác trong cơ thể và gây tử vong.
Triệu chứng u men xương hàm
Đa số các khối u xương hàm đều không có biểu hiện trên lâm sàng. Khối u có thể trải qua các giai đoạn sau đây kèm một số biểu hiện:
- Giai đoạn tiềm ẩn: Khối u xương hàm không gây triệu chứng. Bệnh nhân chủ yếu phát hiện tình cờ qua thăm khám răng hàm mặt. Nếu có nhiễm trùng sẽ gây đau nhức.
- Giai đoạn u xương hàm gây biến dạng xương: Ở giai đoạn này u sẽ làm phồng bề mặt xương, làm bệnh nhân có cảm giác nặng vùng xương hàm hoặc mất cảm giác do thần kinh bị chèn ép.
- Giai đoạn u hàm mặt phá vỡ bề mặt xương: Có thể sờ thấy khối u nhưng không đau, bờ xương xung quanh mỏng, bén nhọn.
- Giai đoạn u xương hàm tạo đường rò và gây biến chứng: Lỗ rò sẽ làm thủng ở mặt trong hoặc ngoài miệng, để lại nhiều di chứng khó hồi phục.

Nếu khối u là ác tính, u lớn lên sẽ gây ra áp lực bên trong hàm, ép lên răng, dây thần kinh, mạch máu và xương hàm. Các triệu chứng như đau hàm, sưng mặt và răng lung lay dễ rụng sẽ rõ rệt hơn ở giai đoạn sau của bệnh.
Nguyên nhân u men xương hàm
Như đã đề cập, nguyên nhân gây u men xương hàm đến nay vẫn chưa được xác định. Tuy nhiên, các chuyên gia nhận thấy khối u này bắt nguồn từ liên bào tạo men vùi kẹt trong xương hàm. Từ đó tạo ra khối u lành tính có khả năng phát triển nhanh gây phá hủy xương hàm và làm biến dạng cấu trúc khuôn mặt.
Đối tượng nguy cơ u men xương hàm
Hiện nay, các chuyên gia ủng hộ giả thuyết u men xương hàm là bệnh có khả năng di truyền. Vì vậy, nếu gia đình cho người mắc chứng bệnh này, cần chú ý các biểu hiện bất thường để kịp thời thăm khám và điều trị.

Chẩn đoán u men xương hàm
Để thu thập thêm thông tin về khối u hoặc u nang hàm, bác sĩ có thể đề nghị xét nghiệm trước khi điều trị. Những xét nghiệm này có thể bao gồm:
- Nghiên cứu hình ảnh, chẳng hạn như X-quang, CT hoặc MRI
- Sinh thiết để lấy mẫu tế bào khối u hoặc u nang để phân tích trong phòng thí nghiệm
Bác sĩ sử dụng thông tin này để đưa ra kế hoạch điều trị tốt nhất cho bạn và là lựa chọn hiệu quả nhất để điều trị khối u hoặc u nang của bạn.
Phòng ngừa bệnh u men xương hàm
U men xương hàm có thể bị nhầm lẫn với một số khối u khác ở vùng hàm mặt. Chính vì vậy, bệnh nhân sẽ được chẩn đoán trước khi can thiệp điều trị. Quá trình chẩn đoán sẽ được thực hiện theo trình tự sau:
- Khám lâm sàng: Bác sĩ sẽ nắn, sờ khối u và khám khoang miệng để đánh giá tình trạng lợi, răng và xương hàm. Ngoài ra, bác sĩ cũng sẽ đặt câu hỏi về triệu chứng, thời điểm khởi phát, tiền sử sức khỏe cá nhân và gia đình.
- Chụp X quang: Chụp X quang là kỹ thuật có giá trị nhất trong chẩn đoán u men xương hàm. Thông qua hình ảnh X quang, bác sĩ có thể xác định được vị trí, kích thước và quan sát mô bệnh học của khối u. Khối u men xương hàm có đặc điểm là có một hoặc nhiều buồng, thường đi kèm với hiện tượng tiêu chân răng.
U men xương hàm sẽ được chẩn đoán phân biệt với nang xương hàm, nang chân răng và nang thân răng. Sau khi đưa ra chẩn đoán cuối cùng, bác sĩ sẽ đánh giá tình trạng của khối u để tìm phương án điều trị phù hợp.
Điều trị u men xương hàm như thế nào?
U men xương hàm cần phải được điều trị càng sớm càng tốt để tránh khối u phá hủy xương hàm, gây biến dạng mặt và chuyển dạng ác tính. Giải pháp được cân nhắc trong hầu hết các trường hợp là phẫu thuật lấy toàn bộ khối u để hạn chế nguy cơ tái phát. Tuy nhiên, cũng có nhiều trường hợp phải cắt xương và tái tạo lại bằng xương mác dưới chân.
Phẫu thuật cắt bỏ khối u
Phẫu thuật cắt bỏ khối u thường được chỉ định trong trường hợp u nang hoặc u đặc, kích thước khối u nhỏ và xuất hiện ở vùng ngoại biên. Trường hợp khối u mọc ở trung tâm xương hàm cũng có thể can thiệp phương pháp này nhưng tỷ lệ tái phát khá cao, do đó đa phần đều phải kết hợp với phẫu thuật cắt xương.
Phẫu thuật cắt bỏ khối u được thực hiện để loại bỏ khối u lành tính, giữ lại bờ nền xương hàm. Quá trình phẫu thuật sẽ được thực hiện bởi đội ngũ bác sĩ giàu kinh nghiệm để tránh tình trạng sót mô và tái phát bệnh.
Sau khi khối u đã được loại bỏ hoàn toàn, bác sĩ sẽ tiến hành phục hình răng lung lay và xô lệch để phục hồi chức năng ăn nhai, giao tiếp. Nếu phẫu thuật sớm, bệnh nhân có khả năng phục hồi nhanh và gần như không phải can thiệp phẫu thuật chỉnh hình hàm mặt.
Phẫu thuật cắt bỏ u và xương hàm
Trong trường hợp u men răng dạng đặc – đặc biệt là u xuất hiện ở hàm trên và gây phá hủy nhiều xương, bác sĩ sẽ chỉ định phẫu thuật cắt bỏ u và một đoạn xương hàm. Mặc dù phẫu thuật này có thể để lại di chứng nặng nề nhưng nếu không thực hiện, nhiều khả năng bệnh nhân sẽ bị gãy xương và xương hàm bị phá hủy nghiêm trọng không thể hồi phục.
Sau khi phẫu thuật khối u và đoạn xương hàm, bác sĩ sẽ dùng xương mác để chỉnh hình lại vùng hàm mặt. Kế tiếp, bệnh nhân sẽ được phục hình răng để thoải mái khi ăn uống và giao tiếp.
Rất ít trường hợp u men xương hàm phải xạ trị do tiềm ẩn nhiều nguy cơ và lợi ích mang lại không cao. Tuy nhiên, nếu nghi ngờ khối u có nguy cơ ác tính hóa, bác sĩ sẽ chỉ định xạ trị sau phẫu thuật để loại bỏ hoàn toàn các tế bào gây u men.
Phục hồi chức năng
Sau khi phẫu thuật u men xương hàm, bệnh nhân sẽ được phục hồi chức năng nuốt, ăn và giao tiếp. Quá trình này sẽ được thực hiện bởi chuyên gia vật lý trị liệu, chuyên gia trị liệu ngôn ngữ và chuyên gia dinh dưỡng.
Trong thời gian hồi phục, gia đình cũng nên có biện pháp chăm sóc và động viên để người bệnh giữ được tinh thần lạc quan, vui vẻ. Có như vậy, quá trình hồi phục mới diễn ra thuận lợi và bệnh nhân có thể quay trở lại cuộc sống trong thời gian sớm nhất. U men xương hàm là bệnh có khả năng tái phát cao nên người bệnh cần tái khám mỗi 6 tháng/ lần suốt đời.
Lưu ý: Thông tin trong bài viết chỉ mang tính chất tham khảo, vui lòng liên hệ với Bác sĩ, Dược sĩ hoặc Chuyên viên Y tế để được tư vấn cho từng trường hợp Bệnh cụ thể, tuyệt đối không làm theo hướng dẫn trong bài viết.



