Sán não là bệnh lý thuộc nhóm nhiễm trùng hệ thần kinh trung ương, gây ảnh hưởng nghiêm trọng đến sức khỏe của người bệnh với mức độ nguy hiểm rất cao có thể dẫn đến tử vong nếu không được chẩn đoán và điều trị kịp thời. Vậy chúng ta cùng tìm hiểu về sán não qua bài viết dưới đây nhé.
Tổng quan chung
Sán não (Cysticercosis) là một loại nhiễm trùng do ấu trùng của ký sinh trùng Taenia solium gây ra, một loại giun lợn.
Túi chứa dịch (cysts) mà T. solium hình thành trong cơ thể của bạn gây ra các triệu chứng phát triển.
Khi bị nhiễm sán não từ việc ăn thức ăn hoặc uống nước bị nhiễm trứng T. solium hoặc do không rửa tay sau khi chạm vào phân (phân) chứa trứng T. solium. Những quả trứng nở trong ruột của bạn và những con giun non (sâu non) hình thành cysts trong các phần khác của cơ thể của bạn, như não và mắt.
Triệu chứng
Các triệu chứng lâm sàng của sán não thay đổi tùy theo vị trí của các tổn thương, số lượng ký sinh trùng và phản ứng miễn dịch của cơ thể. Nhiều bệnh nhân không có triệu chứng. Các triệu chứng có thể gặp bao gồm:
- Động kinh: Triệu chứng phổ biến nhất (70%).
- Đau đầu, chóng mặt.
- Đột quỵ.
- Rối loạn thần kinh tâm thần.
- Bắt đầu của hầu hết các triệu chứng thường là dạng con dấu đến mãn tính, nhưng cơn co giật thường biểu hiện một cách cấp tính.
Các phát hiện vật lý bất thường, xảy ra ở 20% hoặc ít hơn số bệnh nhân mắc bệnh sán não, phụ thuộc vào vị trí của nang trong hệ thần kinh và bao gồm các triệu chứng sau:
- Suy giảm trí tuệ.
- Khó nói rõ.
- Mất khả năng di chuyển mắt hoặc tê liệt.
- Tê liệt nửa người hoặc liệt nửa người, có thể liên quan đến đột quỵ hoặc tê cơ.
- Mất cảm giác nửa bên.
- Rối loạn chuyển động.
- Tăng/giảm phản xạ.
- Rối loạn đi lại.
- Dấu hiệu màng não.
Nguyên nhân
- Nhiễm trùng với trứng của ký sinh trùng T. solium gây ra sán não. Bạn có thể bị nhiễm sán não bằng cách ăn hoặc uống một thứ gì đó có trứng T. solium trên đó (như trái cây và rau chưa rửa sạch hoặc nước chưa được xử lý) hoặc bằng cách chạm vào miệng sau khi chạm vào một cái gì đó có chứa trứng T. solium (như phân hoặc một thứ gì đó bị nhiễm trùng bởi phân).
- Những quả trứng nở trong ruột của bạn, và những con giun non của T. solium di chuyển ra ngoài các mô của cơ thể bạn và hình thành túi (cysts). Những cái cysts này thường không gây ra triệu chứng trừ khi có nhiều cysts tại một nơi. Bạn có thể mang chúng từ vài tuần đến vài năm mà không biết. Hệ thống miễn dịch của bạn phản ứng khi các cysts chết, gây ra các triệu chứng.
Đối tượng nguy cơ
Một số đối tượng có nguy bị sán não như:
- Ăn thịt lợn chưa nấu chín từ một con lợn bị nhiễm trùng.
- Tiêu thụ nước chứa ký sinh trùng.
- Có vệ sinh cá nhân kém.
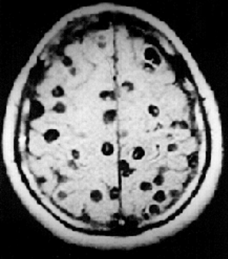
Chẩn đoán
Bác sĩ có thể khai thác một số thông tin sau để chẩn đoán sán não như:
- Các dấu hiệu và triệu chứng của bạn
- Nơi bạn đã đi du lịch
- Loại thức ăn bạn ăn uống
Chẩn đoán sán não thường bao gồm các kiểm tra MRI hoặc CT của não và đôi khi là các xét nghiệm máu. Các xét nghiệm máu có thể không cho kết quả dương tính trong các nhiễm trùng nhẹ. Nếu cần phải phẫu thuật, một bác sĩ bệnh lý sẽ kiểm tra cyst để chẩn đoán.

Phòng ngừa bệnh
Hầu như, bệnh nhân đến với bệnh sán não đều ở giai đoạn nặng của bệnh. Do đó, việc dự phòng lây nhiễm là rất cần thiết và nên được đặt lên hàng đầu. Ở nước ta, tỷ lệ nhiễm sán dải heo có lẽ đang được cải thiện vượt bậc so với những năm về trước do mức độ an sinh xã hội cũng đã tốt hơn rất nhiều. Một số phương pháp dự phòng có thể kể đến như:
- Tẩy giun sán định kỳ 6 tháng 1 lần (đối với trẻ từ 2 tuổi trở lên).
- Rửa tay trước khi ăn và sau khi đi vệ sinh.
- Chăn nuôi lợn không thả rông.
- Giết mổ lợn có găng tay bảo hộ.
- Cẩn thận khi ăn các loại rau sống, đặc biệt là rau được bón từ phân heo.
- Ăn chín, uống sôi, tránh các thực phẩm tái, sống.
- Kiểm tra sức khỏe định kỳ.
- Bảo quản thực phẩm sạch sẽ và ở nhiệt độ an toàn.
- Để riêng thực phẩm sống và chín.
- Thịt heo/bò nên nấu ở nhiệt độ ít nhất 70 độ C để diệt ấu trùng và trứng.
- Sử dụng nguồn nước và vật liệu sạch, an toàn.
- Điều trị sán dây ở vật nuôi.
Sán não là một trong những bệnh thần kinh trung ương nguy hiểm. Bệnh phát triển âm thầm cho đến khi phát hiện những triệu chứng rõ rệt thường khá muộn. Do đó các biện pháp dự phòng mắc bệnh sán não được ưu tiên hàng đầu.
Điều trị như thế nào?
Điều trị của sán não phụ thuộc vào sự sống còn của cyst và các biến chứng của nó. Nếu ký sinh trùng đã chết, phương pháp tiếp cận như sau:
- Điều trị chủ yếu hướng vào các triệu chứng
- Thuốc chống co giật được sử dụng để kiểm soát cơn co giật; thường chỉ cần một loại thuốc
- Thời gian điều trị vẫn chưa được xác định rõ ràng
Nếu ký sinh trùng là sống hoặc hoạt động, điều trị thay đổi như sau:
- Bệnh nhân có viêm mạch, viêm màng nhện, hoặc viêm não: Một liệu pháp steroid hoặc các loại thuốc ức chế miễn dịch được khuyến nghị trước khi sử dụng các loại thuốc chống cysticercal.
- Điều trị chống ký sinh trùng với albendazole cũng hữu ích trong loại cysticercosis kiểu cạnh (tức là nhiều cysts ở các cisterns cơ bản).
- Bệnh nhân có cysts thùy, dưới màng nhện, hoặc cột sống và không có biến chứng (ví dụ như động kinh mãn tính, đau đầu, động kinh liên quan đến đột quỵ, và thiếu nước não): điều trị chống cysticercal có thể được xem xét, kết hợp với việc sử dụng steroid đồng thời.
- Cần có nhiều lần thử nghiệm với điều trị chống cysticercal cho những cysts dưới màng nhện khổng lồ.
- Bệnh nhân có cơn co giật do các cyst thùy còn sống: điều trị chống ký sinh trùng.
Các chỉ định cho can thiệp phẫu thuật và các biện pháp được khuyến nghị như sau:
- Thiếu nước não do một cyst trong não: Đặt ống dẫn não, sau đó là loại bỏ cyst bằng phẫu thuật và tiếp tục điều trị y tế.
- Nhiều cyst trong không gian dưới màng nhện (tức là hình dạng cạnh): Loại bỏ nhanh chóng bằng phẫu thuật.
- Tắc nghẽn do viêm mạch nhện: Đặt ống dẫn não, tiếp theo là sử dụng steroid và sau đó là điều trị y tế.
Hi vọng những chia sẻ trên sẽ giúp các bạn hiểu hơn về sán não.
Xin lưu ý: Thông tin trong bài viết chỉ mang tính chất tham khảo. Độc giả vui lòng liên hệ với Bác sĩ, Dược sĩ hoặc chuyên viên y tế để được tư vấn cụ thể và chính xác nhất.
Lưu ý: Thông tin trong bài viết chỉ mang tính chất tham khảo, vui lòng liên hệ với Bác sĩ, Dược sĩ hoặc Chuyên viên Y tế để được tư vấn cho từng trường hợp Bệnh cụ thể, tuyệt đối không làm theo hướng dẫn trong bài viết.



