Rỗ não là một khoang phát triển trước hoặc sau khi sinh ở bán cầu não. Vậy chúng ta cùng tìm hiểu bài viết dưới đây để hiểu rõ hơn về rỗ não nhé.
Tổng quan chung
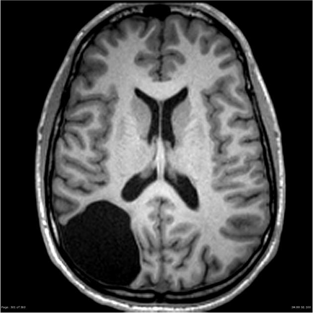
Rỗ não (Porencephaly) là một rối loạn hiếm gặp thường được chẩn đoán trước khi sinh hoặc trong thời kỳ sơ sinh. Tổn thương ở bán cầu não của trẻ có thể xảy ra trong thời kỳ mang thai hoặc ngay sau khi sinh. Tổn thương này dẫn đến sự phát triển của các khoang chứa đầy dịch, được gọi là nang, trong não của trẻ.
Các nang này có thể cản trở sự phát triển và tăng trưởng bình thường của não. Trẻ em mắc porencephaly có thể gặp khó khăn về phát âm. Chúng cũng có thể gặp phải các thiếu sót thần kinh khác (chức năng bất thường ở các khu vực của cơ thể).
Triệu chứng
Các triệu chứng và dấu hiệu của bệnh rỗ não (porencephaly) rất đa dạng về mức độ nghiêm trọng và thời điểm xuất hiện. Các thiếu sót về thần kinh (chức năng bất thường trong cơ thể) phụ thuộc vào vị trí và kích thước của các nang trong não. Điều này không khác nhiều so với những gì xảy ra khi bị đột quỵ. Các triệu chứng có thể bao gồm:
- Chậm phát triển ngôn ngữ và lời nói.
- Chậm phát triển thể chất.
- Chậm phát triển nhận thức.
- Chậm phát triển xã hội.
- Đầu to hoặc nhỏ hơn so với kích thước cơ thể.
- Trương lực cơ thấp (giảm trương lực cơ).
- Yếu cơ.
- Vấn đề xử lý thông tin cảm giác.
- Co giật.
Nguyên nhân
Nguyên nhân của bệnh rỗ não bao gồm:
- Bất thường di truyền
- Bệnh viêm
- Rối loạn làm cản trở dòng máu đến nuôi dưỡng cho một vùng não (ví dụ, xuất huyết não thất với nhu mô não bị ảnh hưởng)
Khám thần kinh thường có biểu hiện bất thường, bao gồm cả tăng hoặc giảm trương cơ, chậm phát triển, đau nửa đầu, hoặc suy giảm thị lực. Tuy nhiên, một số trẻ chỉ phát triển các dấu hiệu thần kinh nhẹ và có trí thông minh bình thường.
Đối tượng nguy cơ mắc bệnh rỗ não
Rỗ não là một tình trạng cực kỳ hiếm gặp, trẻ em nam và nữ đều có nguy cơ mắc bệnh như nhau.
Chẩn đoán
Rỗ não (Porencephaly) có thể được chẩn đoán trong hoặc sau khi mang thai.
- Trong thai kỳ, nó được chẩn đoán thông qua một trong hai loại hình ảnh thần kinh. Lựa chọn đầu tiên là siêu âm. Lựa chọn thứ hai là chụp cộng hưởng từ (MRI). Hình ảnh thần kinh có thể quan sát não bộ đang phát triển của thai nhi trong bụng mẹ.
- Rỗ não (Porencephaly) cũng có thể được chẩn đoán trong vài năm đầu đời. Đôi khi, bác sĩ chăm sóc chính sẽ giới thiệu em bé bị nghi ngờ có vấn đề về thần kinh đến một chuyên gia. Chuyên gia này có khả năng là bác sĩ thần kinh nhi. Một số bác sĩ thần kinh nhi tập trung vào các em bé mắc các bệnh liên quan đến não.
- Chuyên gia sẽ kiểm tra xem em bé có đạt được các mốc phát triển hay không. Các mốc phát triển này bao gồm ngồi, bò, đi hoặc nói. Chuyên gia sẽ tiến hành kiểm tra thần kinh và xem xét trương lực cơ, sức mạnh, phản xạ của em bé và nhiều yếu tố khác. Sau đó, chuyên gia có thể yêu cầu chụp hình ảnh thần kinh. Chuyên gia cũng có thể yêu cầu xét nghiệm máu hoặc giới thiệu em bé đến các chuyên gia khác.

Phòng ngừa bệnh
Chưa có biện pháp phòng ngừa hiệu quả, tuy nhiên bệnh rỗ não có thể xảy ra trong quá trình mang thai hoặc sau khi mang thai. Do đó, để phòng ngừa các mẹ nên giữ cho một thai kỳ khỏe mạnh như:
- Không sử dụng các chất gây nghiện như ma túy, thuốc phiện, thuốc lá.
- Bệnh rỗ não nguyên nhân cũng do di truyền do đó các mẹ nên làm các xét nghiệm di truyền để xem có gen nào bị biến đổi không, từ đó bác sĩ chuyên khoa sẽ đưa ra nhận định tư vấn cụ thể.
Điều trị như thế nào?
Không có phương pháp chữa trị rõ ràng cho bệnh rỗ não. Độc tính cấu trúc này không thể được đảo ngược. Tuy nhiên, có các phương pháp điều trị có thể giúp giảm các triệu chứng bệnh.
Triệu chứng và phương pháp điều trị có sẵn:
- Trễ phát triển tư duy, nói chuyện, ngôn ngữ hoặc vận động: Vận động vật lý, vật lý trị liệu, hướng dẫn đặc biệt và trị liệu nói chuyện có thể rất hiệu quả.
- Thách thức trong việc học: Làm việc chặt chẽ với hệ thống giáo dục để tạo ra kế hoạch giáo dục cá nhân hóa và hỗ trợ có thể hữu ích. Các chương trình giáo dục đặc biệt cũng có thể giúp ích.
- Co giật: Có thể sử dụng nhiều loại thuốc để điều trị co giật. Cũng có thể có các lựa chọn về chế độ ăn và phẫu thuật.
- Co cứng cơ: Thuốc có thể kiểm soát áp lực cao hoặc độ cứng trong cơ bắp. Ví dụ, tiêm độc tố botulinum có thể giúp làm giãn cơ hoặc thuốc như baclofen thường được sử dụng.
- Thiết bị điều chỉnh: Nẹp và thiết bị điều chỉnh có thể cải thiện đáng kể chức năng và chất lượng cuộc sống của trẻ.
- Thiếu nước não: Đây là áp lực tăng lên trong não. Tùy thuộc vào vị trí cụ thể của porencephaly, việc cắt bỏ hoặc cắm ống dẫn phẫu thuật có thể giảm áp lực này.
Hi vọng những chia sẻ của bài viết trên sẽ giúp các bạn hiểu hơn về bệnh rỗ não
Lưu ý: Thông tin trong bài viết chỉ mang tính chất tham khảo, vui lòng liên hệ với Bác sĩ, Dược sĩ hoặc Chuyên viên Y tế để được tư vấn cho từng trường hợp Bệnh cụ thể, tuyệt đối không làm theo hướng dẫn trong bài viết.