Động mạch chủ bụng được xem là động mạch lớn nhất trong cơ thể con người. Phình động mạch chủ bụng là hiện tượng một phần phình ra ở phần động mạch chủ chạy qua bụng của bạn. Bệnh lý thông thường không gây ra triệu chứng cho đến khi chúng phình to dẫn đến bị vỡ gây nguy hiểm đến tính mạng của bệnh nhân nếu không được phát hiện và chữa trị kịp thời.
Tổng quan chung
Phình động mạch chủ bụng (Tên tiếng anh là Abdominal aortic aneurysms -AAA) là tình trạng thành động mạch này trở nên yếu đi và phình to ra, tạo thành một khối chứa đầy máu.
Phình động mạch chủ bụng thường bắt đầu bên dưới động mạch thận (dưới thận) nhưng có thể bao gồm lỗ động mạch thận (cận thận); khoảng 50% có thương tổn động mạch chậu. Theo định nghĩa, đường kính động mạch chủ ≥ 3 cm được coi là phình động mạch chủ bụng. Hầu hết các AAA là dạng fusiform (mở rộng theo chu vi của động mạch). Nhiều tổn thương được lót bằng huyết khối.
Triệu chứng phình động mạch chủ bụng
Ở giai đoạn đầu, bệnh phình động mạch chủ bụng thường không có các dấu hiệu rõ ràng. Người bệnh thường nhầm lẫn với triệu chứng của các bệnh thông thường khác. Chính vì vậy mà bệnh rất khó phát hiện, làm cho động mạch phình lên nhanh và có nguy cơ vỡ gây nguy hiểm cho sức khỏe con người.
Người bệnh thường gặp phải các vấn đề trong giai đoạn khối phình động mạch chủ bụng đang trong quá trình phát triển nhanh:
- Bệnh nhân đau mỏi lưng.
- Vùng bụng xung quanh rốn đập mạnh, khó chịu.
- Đau liên tục ở vùng bụng.
Các triệu chứng báo hiệu bệnh đang trở nặng, bệnh nhân cần tới bệnh viện ngay
- Da trở nên nhợt nhạt, chân tay tê cứng, lạnh và đổ mồ hôi liên tục.
- Đau đầu, chóng mặt, mê man thậm chí ngất xỉu.
- Chán ăn, đầy bụng, khó thở, buồn nôn và nôn.
- Tăng dần mức độ đau ở ổ bụng, chân và lưng.

Nguyên nhân phình động mạch chủ bụng
Một số nguyên nhân dẫn đến sự phát triển của chứng phình động mạch chủ bụng, bao gồm:
- Xơ cứng động mạch
Được gọi là xơ vữa động mạch. Xơ vữa động mạch xảy ra khi chất béo và các chất khác tích tụ trên niêm mạc mạch máu, làm thu hẹp thành động mạch, khiến áp lực máu lên thành động mạch ngày một lớn.
- Huyết áp cao
Huyết áp cao có thể làm hỏng và làm suy yếu thành động mạch chủ.
- Viêm động mạch chủ
Thành động mạch chủ bị nhiễm trùng do một số vi khuẩn hoặc nấm nhất định có thể gây ra chứng phình động mạch chủ bụng.
- Tổn thương
Ví dụ, bị thương trong một vụ tai nạn giao thông có thể gây ra chứng phình động mạch chủ bụng.
Đối tượng nguy cơ mắc phình động mạch chủ bụng
Người có các yếu tố nguy cơ dưới đây dễ phát triển chứng phình động mạch chủ bụng:
- Sử dụng thuốc lá
Hút thuốc lá là yếu tố nguy cơ lớn nhất đối với chứng phình động mạch chủ. Khói thuốc có khả năng làm yếu thành mạch máu, trong đó có động mạch chủ, từ đó gây ra chứng phình động mạch chủ và thúc đẩy khối phình to nhanh, dễ vỡ hơn. Bạn sử dụng thuốc lá càng lâu và càng nhiều thì khả năng phát triển chứng phình động mạch chủ càng cao. Nam giới từ 45 tuổi đang hoặc từng hút thuốc nên siêu âm hàng năm để sàng lọc bệnh.

- Tuổi tác
Phình động mạch chủ bụng xảy ra nhiều nhất ở những người từ 65 tuổi trở lên nhưng cũng có thể xảy ra ở người trẻ nếu có yếu tố gia đình.
- Giới tính
Nam giới mắc chứng này nhiều hơn so với phụ nữ.
- Chủng tộc
Những người da trắng có nguy cơ phình động mạch chủ bụng cao hơn.
- Tiền sử gia đình
Nếu có người thân (cha mẹ hoặc anh chị em ruột) bị phình động mạch chủ bụng, bạn sẽ tăng khả năng mắc bệnh này.
Chẩn đoán phình động mạch chủ bụng
Bệnh phình động mạch chủ bụng thường được phát hiện giai đoạn đầu khi bạn chủ động thăm khám định kỳ 6 tháng. Các bác sĩ sẽ chẩn đoán được bệnh thông qua các xét nghiệm hoặc phương pháp sau:
- Chụp CT
Đối với phương pháp này, bác sĩ sẽ dùng tia X để chụp cắt ngang hình ảnh của các bộ phận ở trong bụng. Hình ảnh chụp được sẽ bao gồm cả động mạch chủ.
- Chụp MRI
Phương pháp này sẽ cho ra hình ảnh bên trong vùng bụng bao gồm cấu trúc các bộ phận.
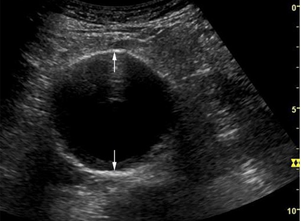
- Siêu âm
Phương pháp này sẽ cho hình ảnh rõ nét và chính xác cấu trúc mạch ở trong bụng, được các bác sĩ sử dụng rất phổ biến.

Phòng ngừa phình động mạch chủ bụng
Để phòng ngừa chứng phình động mạch chủ bụng hoặc ngăn bệnh tiến triển, bạn có thể tham khảo các biện pháp sau:
- Không hút thuốc lá, tránh xa người hút thuốc để không hít phải khói thuốc.
- Xây dựng chế độ ăn uống lành mạnh, ăn nhiều loại trái cây và rau quả, ngũ cốc nguyên hạt, thịt gà, cá và các sản phẩm từ sữa ít béo; tránh thực phẩm chứa nhiều chất béo bão hòa và chất béo chuyển hóa; hạn chế muối khi chế biến thức ăn.
- Giữ chỉ số huyết áp và cholesterol trong giới hạn cho phép.
- Tập thể dục thường xuyên với cường độ vừa phải tối thiểu 150 phút mỗi tuần.

Điều trị phình động mạch chủ bụng như thế nào?
Nếu mạch phình nhỏ, biểu hiện không rõ bạn có thể thăm khám bác sĩ để kiểm soát mức độ phát triển của bệnh cũng như hạn chế các bệnh đi kèm như cao huyết áp.
Nếu bệnh trở nặng, đau bụng âm ỉ, khó chịu liên tục, tốc độ phát triển của bệnh nhanh, khó kiểm soát, bác sĩ cần có những biện pháp loại bỏ và ngăn ngừa nguy cơ vỡ thành mạch.
Tùy vào kích thước của khối phình, độ tuổi của bệnh nhân, các bác sĩ sẽ lựa chọn những phương pháp phù hợp để điều trị bệnh:
- Đặt stent động mạch chủ
Là một phương pháp phẫu thuật nội soi hạn chế xâm lấn, bệnh nhân chỉ cần gây tê và bác sĩ luồn ống thông từ động mạch ở bẹn đến động mạch chủ cần điều trị. Sau đó, một đoạn stent graft được đưa vào để loại bỏ phình động mạch chủ bụng.
- Phẫu thuật cắt khối phình động mạch chủ
Sau khi được cắt bỏ, bác sĩ sẽ thay đoạn động mạch được cắt bằng mạch máu nhân tạo. Điều chú ý là bệnh nhân phải gây mê suốt ca mổ và mất thời gian lâu để hồi phục hoàn toàn.
Kết luận, Phình động mạch chủ bụng là một bệnh lý phổ biến, có thể bắt gặp cả ở những người trẻ tuổi. Hy vọng bài viết này cung cấp đầy đủ các thông tin cần thiết để bạn có thể nhận biết và ngăn ngừa bệnh một cách hiệu quả.
Xin lưu ý: Thông tin trong bài viết chỉ mang tính chất tham khảo. Độc giả vui lòng liên hệ với Bác sĩ, Dược sĩ hoặc chuyên viên y tế để được tư vấn cụ thể và chính xác nhất.
Lưu ý: Thông tin trong bài viết chỉ mang tính chất tham khảo, vui lòng liên hệ với Bác sĩ, Dược sĩ hoặc Chuyên viên Y tế để được tư vấn cho từng trường hợp Bệnh cụ thể, tuyệt đối không làm theo hướng dẫn trong bài viết.



