Hiện nay, tỷ lệ phụ nữ mắc bệnh về vấn đề sinh sản ngày một tăng lên, trong đó có bệnh buồng trứng đa nang. Căn bệnh này là nguyên nhân thường gặp dẫn đến người phụ nữ bị vô sinh, khiến nhiều chị em lo lắng. Hãy cùng tìm hiểu về hội chứng buồng trứng đa nang và những thông tin liên quan đến vấn đề buồng trứng đa nang qua bài viết sau.
Tổng quan chung
Buồng trứng đa nang (tiếng Anh là Polycystic Ovary Syndrome – PCOS) là một dạng rối loạn nội tiết tố thường gặp ở phụ nữ trong độ tuổi sinh sản. Bệnh gây nhiều tác động lên buồng trứng khiến chu kỳ kinh nguyệt bị rối loạn, tăng nồng độ nội tiết tố nam, dẫn đến hình thành nhiều nang nhỏ bên trong buồng trứng. Có khoảng 2,2 – 26,7% phụ nữ trong độ tuổi sinh sản (15 – 44 tuổi) mắc hội chứng đa nang buồng trứng. Và nhiều người trong số họ không biết mình mắc bệnh nên không điều trị sớm dẫn đến nhiều biến chứng.
Người phụ nữ mắc bệnh có nguy cơ bị vô sinh rất cao, bởi vì chu kỳ kinh nguyệt của họ thường không đều, ảnh hưởng đến quá trình rụng trứng. Hậu quả đó là việc thụ tinh thành công là rất khó khăn.
Triệu chứng buồng trứng đa nang
Các triệu chứng thường gặp của hội chứng buồng trứng đa nang (PCOS) như sau:
- Chu kỳ kinh không đều: Các biểu hiện rối loạn kinh nguyệt có thể gặp ở phụ nữ PCOS là kinh không đều, kinh thưa hoặc vô kinh, có thể gặp rong cường kinh.
- Vô sinh: PCOS là một trong những nguyên nhân thường gặp nhất ở người phụ nữ bị vô sinh.
- Béo phì: 4/5 phụ nữ PCOS có biểu hiện thừa cân hoặc béo phì.
- Rậm lông: lông phát triển nhiều quá mức ở mặt, ngực, bụng, đùi. Tình trạng này ảnh hưởng đến hơn 7/10 phụ nữ PCOS.
- Mụn trứng cá: xuất hiện từ sau dậy thì nhưng không đáp ứng với các điều trị thông thường.
- Da dầu.
- Mảng tăng sắc tố da: Là những mảng da dày hơn bình thường, đen sạm, mịn như nhung. Thường xuất hiện ở những vùng có nếp gấp của cơ thể như nách, bẹn, cổ.
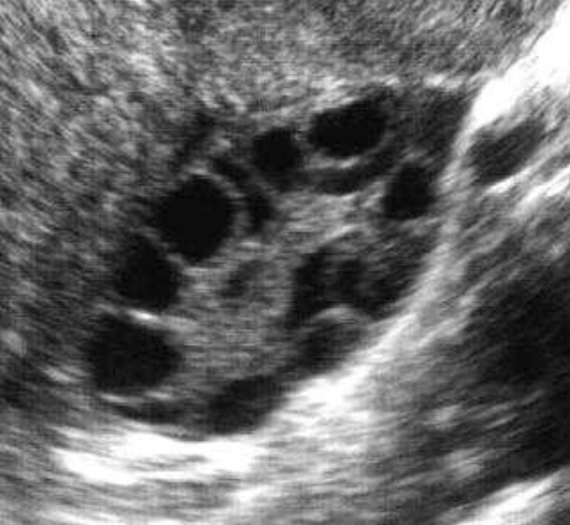
- Buồng trứng có nhiều nang nhỏ.

Nguyên nhân buồng trứng đa nang
Thông thường, các nguyên nhân gây ra buồng trứng đa nang có thể được kể đến như:
- Kháng insulin: Đây là tình trạng khi mà các tế bào của cơ thể không đáp ứng với các tác động của insulin (một hormone có vai trò trong chuyển hóa đường) dẫn đến nồng độ đường trong máu tăng cao. Đề kháng insulin có thể dẫn đến đái tháo đường. Nó cũng có liên quan đến tình trạng tăng sắc tố da.
- Di truyền: Các nghiên cứu cho thấy một số gen có liên quan nhất định đến hội chứng đa nang buồng trứng, do đó nếu trong gia đình có mẹ hoặc chị gái mắc hội chứng này thì nguy cơ mắc bệnh sẽ cao hơn.
- Chế độ ăn uống: Có nhiều nghiên cứu cho rằng chế độ ăn uống quá nhiều tinh bột có thể là yếu tố góp phần dẫn đến hội chứng đa nang buồng trứng.

Đối tượng có nguy cơ mắc buồng trứng đa nang
Theo Trung tâm kiểm soát và phòng ngừa dịch bệnh (Hoa Kỳ) những đối tượng sau có nguy cơ mắc buồng trứng đa nang:
- Phụ nữ thừa cân và béo phì: Mối quan hệ về cân nặng và buồng trứng đa nang rất phức tạp và chưa hiểu rõ hết, tuy nhiên, người ta thấy rằng ở một số phụ nữ không thừa cân mà vẫn xuất hiện buồng trứng đa nang.
- Tiền sử gia đình: Bệnh buồng trứng đa nang có xu hướng di truyền theo gia đình. Nếu có mẹ hoặc chị gái có buồng trứng đa nang hoặc mắc bệnh tiểu đường type II thì người đó có khả năng cao mắc buồng trứng đa nang hơn các đối tượng khác.
- Kháng insulin: Lối sống có tác động lớn đến tình trạng kháng insulin, đặc biệt đối với phụ nữ thừa cân do chế độ ăn uống không lành mạnh và thiếu hoạt động thể chất. Kháng insulin cũng di truyền theo gia đình.

Chẩn đoán PCOS
Chẩn đoán hội chứng buồng trứng đa nang ở thanh thiếu niên rất phức tạp vì những thay đổi sinh lý trong tuổi dậy thì (ví dụ, tăng tiết androgen, kinh nguyệt không đều) tương tự như các đặc điểm của hội chứng buồng trứng đa nang. Do đó, các tiêu chí riêng biệt để chẩn đoán hội chứng buồng trứng đa nang ở thanh thiếu niên đã được đề xuất: tuy nhiên, chưa đạt được sự đồng thuận. Các tiêu chí này yêu cầu phải có cả hai điều kiện sau:
- Kiểu chảy máu tử cung bất thường (bất thường theo tuổi hoặc tuổi phụ khoa hoặc các triệu chứng kéo dài trong 1 đến 2 năm)
- Bằng chứng về tăng tiết androgen (dựa trên nồng độ testosterone liên tục tăng cao hơn nồng độ ở người lớn [bằng chứng tốt nhất], rậm lông từ trung bình đến nặng, hoặc mụn trứng cá viêm từ vừa đến nặng là một dấu hiệu để xét nghiệm xem có tăng androgen trong máu không).
- Thông thường, xét nghiệm 17-hydroxyprogesterone cũng được thực hiện để sàng lọc tăng sản thượng thận bẩm sinh không điển hình ở thanh thiếu niên.
- Siêu âm vùng chậu thường chỉ được chỉ định nếu nồng độ androgen trong huyết thanh hoặc mức độ nam hóa gợi ý một khối u buồng trứng. Siêu âm qua đường âm đạo thường không được sử dụng để chẩn đoán hội chứng buồng trứng đa nang ở trẻ em gái vị thành niên vì nó phát hiện hình thái đa nang ở < 40% số trẻ em gái và, được sử dụng đơn lẻ, không dự đoán sự hiện diện hoặc phát triển của hội chứng buồng trứng đa nang.

Phòng ngừa bệnh buồng trứng đa nang
Phụ nữ hoàn toàn có thể ngăn ngừa bệnh lý cũng như các biến chứng nguy hiểm của bệnh bằng việc xây dựng lối sống, sinh hoạt lành mạnh, nâng cao chất lượng cuộc sống ngày. Cụ thể là:
- Duy trì cân nặng hợp lý: Giảm cân và duy trì mức cân nặng hợp lý không chỉ giúp phụ nữ có sức khỏe tốt, mà còn giảm ảnh hưởng tiêu cực của bệnh đối với cơ thể. Khuyến cáo phụ nữ nên tham khảo ý kiến của bác sĩ hoặc chuyên gia dinh dưỡng để được xây dựng chế độ ăn uống khoa học, đồng thời có kế hoạch kiểm soát cân nặng như mong muốn.
- Hạn chế carbohydrate: Tham khảo chế độ ăn ít chất béo và nhiều carbohydrate sẽ làm tăng hàm lượng insulin. Do đó, cần hạn chế lượng carbohydrate trong khẩu phần ăn.
- Tập thể dục thường xuyên: Việc tăng cường hoạt động thể dục thể thao một cách thường xuyên, đều đặn sẽ hỗ trợ điều trị, ngăn ngừa tình trạng kháng insulin, giúp kiểm soát cân nặng, phòng tránh bệnh đái tháo đường.
- Khám phụ khoa định kỳ: Khám phụ khoa định kỳ giúp phát hiện các dấu hiệu của bệnh từ sớm, kể cả khi bệnh chưa có biểu hiện rõ ràng. Không những thế, khám phụ khoa định kỳ còn giúp tầm soát, điều trị kịp thời, ngăn ngừa biến chứng nguy hiểm của nhiều bệnh phụ khoa khác. Do đó, các chuyên gia sản phụ khoa khuyến cáo chị em phụ nữ nên khám phụ khoa định kỳ 6 tháng/lần hoặc theo hướng dẫn của bác sĩ.

Điều trị như thế nào?
Để điều hòa kỳ kinh nguyệt, bác sĩ khuyến cáo như sau:
- Sử dụng thuốc tránh thai: Thuốc có chứa estrogen và progestin làm giảm sản xuất androgen và điều chỉnh lượng estrogen của cơ thể. Điều chỉnh lượng nội tiết tố làm giảm nguy cơ mắc ung thư nội mạc tử cung, chảy máu bất thường, mọc lông tóc quá rậm và nổi mụn. Ngoài dạng thuốc uống, người bệnh có thể lựa chọn miếng dán hoặc đặt vòng tránh thai có chứa sự kết hợp giữa estrogen và progestin.
- Điều trị bằng progesteron: Uống progestin trong vòng 10 đến 14 ngày và lặp lại từ 1 đến 2 tháng để phòng ngừa ung thư nội mạc tử cung. Liệu pháp điều trị bằng progesteron không cải thiện nồng độ androgen và do đó, không có tác dụng tránh thai. Dụng cụ tử cung chỉ chứa protein hoặc progestin là lựa chọn tốt hơn nếu người bệnh muốn tránh mang thai.

Điều trị PCOS bằng thuốc tránh thai hoặc progesteron
- Thuốc Clomiphene (Clomid): Đây là thuốc anti-estrogen dạng uống được dùng trong những ngày đầu của chu kỳ kinh nguyệt.
- Metformin (Glucophage, Fortamet…): Đây là thuốc điều trị tiểu đường type II nhằm cải thiện tình trạng kháng insulin và làm giảm nồng độ insulin trong máu. Nếu như người bệnh không có thai, bác sĩ có thể bổ sung thêm metformin để điều trị. Nếu như người bệnh đang trong giai đoạn tiền tiểu đường, bác sĩ kê thêm metformin nhằm làm chậm quá trình tiến triển thành tiểu đường type II và giúp người bệnh giảm cân.
- Gonadotropin: Đây là thuốc hormone dạng tiêm.
Tóm lại, hội chứng đa nang cần phát hiện kịp thời và điều trị để ngăn ngừa các biến chứng không mong muốn. Hy vọng bài viết này mang lại các kiến thức bổ ích cho chị em phụ nữ về tình trạng hội chứng buồng trứng đa nang để bạn có thể phát hiện và điều trị kịp thời.
Lưu ý: Thông tin trong bài viết chỉ mang tính chất tham khảo, vui lòng liên hệ với Bác sĩ, Dược sĩ hoặc Chuyên viên Y tế để được tư vấn cho từng trường hợp Bệnh cụ thể, tuyệt đối không làm theo hướng dẫn trong bài viết.



