Hẹp khe khớp gối là dấu hiệu điển hình của nhiều vấn đề bệnh lý nghiêm trọng, gây cản trở trực tiếp đến khả năng vận động và sinh hoạt hàng ngày. Nếu không được điều trị kịp thời, tình trạng này có thể còn dẫn đến nhiều biến chứng nguy hiểm, thậm chí là tàn phế. Vì vậy, quá trình theo dõi để phát hiện và chữa trị ngay từ sớm là thực sự quan trọng.
Tổng quan chung
Hẹp khe khớp gối là tình trạng khoảng cách giữa các xương trong khớp gối bị thu hẹp lại, gây ra sự cọ xát, đau đớn và hạn chế vận động.
Hẹp khe khớp gối là một trong những dấu hiệu điển hình của bệnh lý thoái hóa khớp gối, bên cạnh sự xuất hiện của các gai xương. Thoái hóa khớp làm hẹp khe khớp gối đang được chú ý đặc biệt vì tỷ lệ mắc bệnh tăng cao, đặc biệt ở các nước có tuổi thọ trung bình cao, trong đó có Việt Nam.
Thoái hóa khớp gối là một trong những vấn đề thường gặp ở người cao tuổi, tần suất bắt gặp ở nữ giới nhiều hơn nam giới. Hẹp khe khớp gối là kết quả của sự mòn và bong tróc lớp sụn bao bên ngoài đầu xương (sụn khớp) theo thời gian (sự lão hóa) hoặc vì một nguyên nhân cụ thể (chấn thương).
Khi các mảnh của sụn khớp vỡ ra (thường kèm theo phần xương dưới sụn) sẽ mắc lại trong ổ khớp, các mảnh này bị cơ thể xem như là một dị vật trong khớp gối (loose bodies) và kích hoạt quá trình viêm khớp.
Bên cạnh đó, phần xương dưới sụn (có thần kinh cảm giác đau) sẽ bị bộc lộ sau khi lớp sụn khớp (không có thần kinh cảm giác đau) bong ra, cọ sát với đầu xương gần kề khi vận động chính là nguyên nhân làm bệnh nhân hẹp khe khớp gối cảm giác đau nhức dữ dội.
Triệu chứng
Hẹp khớp gối có thể dễ dàng được nhận biết thông qua một số triệu chứng rõ rệt như sau:
- Đau khớp: Cơn đau xuất hiện âm ỉ, tăng dần khi vận động hoặc thay đổi tư thế và có xu hướng giảm nếu nghỉ ngơi đầy đủ.
- Khả năng vận động bị hạn chế: Hẹp khe khớp xảy ra do phần sụn khớp bị bong tróc, làm tăng ma sát giữa các đầu xương, dẫn đến khả năng vận động bị hạn chế, đặc biệt là khi lên xuống cầu thang, ngồi xổm hoặc thay đổi tư thế đột ngột.
- Khớp gối bị biến dạng: Khớp gối có thể bị biến dạng do hẹp khe khớp xuất hiện cùng gai xương.
- Khớp bị cứng vào buổi sáng, không vận động được và triệu chứng này thường biến mất trong vòng 30 phút.
- Có âm thanh lạ xuất hiện khi vận động khớp gối.
- Dễ dàng sờ thấy các gai khớp gối lớn xuất hiện.
- Cơ quanh khớp gối có dấu hiệu bị teo do hạn chế vận động.
Nguyên nhân
Hẹp khe khớp xảy ra do hai nguyên nhân chính, cụ thể bao gồm:
- Thoái hóa khớp: Đây là nguyên nhân phổ biến nhất, do sự mài mòn và mất đi sụn khớp.
- Chấn thương: Các chấn thương cũ có thể dẫn đến hẹp khe khớp gối.
- Bệnh viêm khớp: Đây là tình trạng thoái hóa khiến mô sụn bị phá hủy, dẫn đến khe khớp bị thu hẹp, gây đau nhức khó chịu. Ngoài ra, viêm khớp dạng thấp cũng là một trong những nguyên nhân thường gặp, xảy ra khi hệ thống miễn dịch tấn công các mô, gây viêm mãn tính.
- Vận động quá mức dẫn đến làm tăng áp lực cho khớp, về lâu dài gây ra tình trạng hẹp khe khớp.
Yếu tố nguy cơ
- Tuổi tác: Tuổi tác càng cao, sụn càng dễ bị thoái hóa, dẫn đến tình trạng thu hẹp khe khớp.
- Chấn thương: Chấn thương do tai nạn giao thông, tai nạn thể thao hoặc vận động quá mức, lặp đi lặp lại có thể gây ra tổn thương và thoái hóa khớp vĩnh viễn.
- Thừa cân: Tình trạng này gây căng thẳng và tạo áp lực quá mức lên các khớp, về lâu dài dễ dẫn đến thoái hóa.
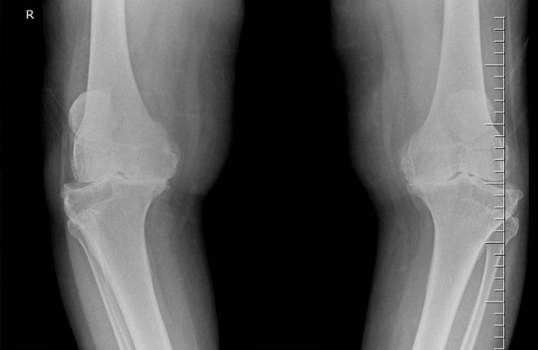
Chẩn đoán
- X quang khớp gối: Thường gặp 3 dấu hiệu cơ bản:
- Hẹp khe khớp gối: Khe khớp có bờ không đều .
- Đặc xương dưới sụn
- Mọc gai xương: Gai xương hình dạng thô và đậm đặc thường gặp ở phần tiếp giáp giữa xương, sụn khớp và màng hoạt dịch.
- Chụp cộng hưởng từ (MRI), cắt lớp vi tính (CT scan) ít được sử dụng để chẩn đoán hẹp khe khớp gối do giá thành đắt.
- Nội soi khớp sử dụng hỗ trợ quá trình điều trị hoặc phát hiện những tổn thương phối hợp trong thoái hóa khớp gối.
- Siêu âm khớp có thể phát hiện gai xương, dịch trong ổ khớp…

Phòng ngừa bệnh
Để phòng ngừa hẹp khe khớp gối, bạn có thể thực hiện các biện pháp sau:
- Ăn uống cân bằng và đủ chất:
Bạn nên ăn uống cân bằng và đủ chất, bổ sung đầy đủ canxi, vitamin D, vitamin K, magie và các khoáng chất khác để duy trì sức khỏe và độ cứng cáp của sụn và xương. Bạn nên ăn nhiều rau xanh, trái cây, sữa, cá, trứng… và hạn chế ăn nhiều đường, muối, chất béo, thịt đỏ…
- Giảm cân nếu thừa cân hoặc béo phì:
Bạn nên giảm cân nếu thừa cân hoặc béo phì để giảm áp lực lên khớp gối và ngăn ngừa sụn bị mòn nhanh hơn. Bạn nên tập thể dục thường xuyên và ăn uống kiêng khem để giảm cân hiệu quả.
- Vận động hợp lý và đúng tư thế:
Bạn nên vận động hợp lý và đúng tư thế để tăng cường sức khỏe và độ linh hoạt của khớp, giảm đau và ngăn ngừa thoái hóa xương. Bạn nên chọn các bài tập nhẹ nhàng như đi bộ, đi xe đạp, bơi lội… để không gây quá tải cho khớp. Bạn nên tránh các cử động quá mức hoặc sai tư thế như chạy nhanh, nhảy cao, ngồi xổm hoặc quỳ gối…
- Đeo nẹp hoặc nạng khi cần thiết:
Bạn có thể đeo nẹp hoặc nạng khi cần thiết để giảm áp lực và ổn định cho khớp gối. Nẹp hoặc nạng có thể được đeo khi vận động hoặc khi nghỉ ngơi.
- Khám và điều trị sớm khi có triệu chứng bất thường:
Bạn nên khám và điều trị sớm khi có triệu chứng bất thường như đau, sưng, viêm hay hạn chế chức năng của khớp gối. Bạn nên liên hệ với bác sĩ để được thăm khám, chẩn đoán và điều trị kịp thời.

Điều trị như thế nào?
Điều trị hẹp khe khớp gối không dùng thuốc
- Tư vấn và giải thích cho bệnh nhân tránh các yếu tố làm khớp bị quá tải như vận động quá sức, thừa cân hoặc béo phì.
- Thay đổi thói quen để tránh các tư thế xấu gây lệch trục khớp.
- Vật lý trị liệu: Chủ yếu là giảm triệu chứng đau, hỗ trợ dinh dưỡng và tăng lượng máu đến các cơ ở cạnh khớp. Bao gồm các phương pháp như sử dụng tia hồ
Điều trị giảm triệu chứng
- Sử dụng các loại thuốc giảm đau đơn thuần như Acetaminophen (Paracetamol, Efferalgan), Morphin.
- Nếu bệnh nhân đau nhiều thì kết hợp thuốc kháng viêm không steroids (NSAIDs) đường uống hoặc tiêm như Diclofenac, Meloxicam, Piroxicam, Celecoxib hoặc thuốc bôi ngoài da (có tác dụng giảm đau đáng kể và không gây ra các tác dụng phụ như dùng đường toàn thân). Chú ý là không kết hợp 2 thuốc NSAIDs vì làm tăng tác dụng phụ mà không giảm đau nhiều.
- Thuốc giảm đau Corticosteroid: Thường được chỉ định thông qua tiêm nội khớp và không được sử dụng đường toàn thân.
Điều trị theo cơ chế bệnh sinh
- Một số thuốc có tác dụng giảm đau nhưng chậm, điều trị theo cơ chế gây bệnh như Glucosamine sulfate, Chondroitin sulfate (có thể phối hợp giữa glucosamine và chondroitin) hoặc thuốc Diacerhein.
- Bổ sung chất nhầy dịch khớp.
- Tiêm huyết thanh tươi giàu tiểu cầu tự thân: Đây là một trong phương pháp mới trong điều trị hẹp khe khớp gối, mạng lại hiệu quả tương đối cao. Phương pháp này được chỉ định ở bệnh nhân thoái hóa khớp gối độ I, II, III.
Điều trị ngoại khoa
Nếu bệnh nhân bị hạn chế vận động nhiều, đau dữ dội và không đáp ứng với điều trị bằng thuốc thì bệnh nhân có thể được chỉ định điều trị bằng ngoại khoa. Các phương pháp điều trị bao gồm:
- Điều trị dưới nội soi khớp: Khi bệnh nhân thoái hóa và hẹp khe khớp gối tiến triển nhanh, bệnh nhân lớn tuổi hoặc không có điều kiện thay khớp gối thì sử dụng phương pháp nội soi để điều trị cho bệnh nhân.
- Phương pháp đục xương chỉnh trục
- Phẫu thuật thay khớp nhân tạo: Thay khớp bán phần hoặc toàn phần ở những bệnh nhân nặng, chức năng vận động giảm nhiều, có điều kiện kinh tế và kháng trị với các phương pháp điều trị khác.

Trên thực tế, hẹp khe khớp gối là một tình trạng không thể tự khỏi hoàn toàn. Tuy nhiên, với sự chăm sóc và điều trị đúng đắn, người bệnh có thể kiểm soát triệu chứng và cải thiện chất lượng cuộc sống. Nếu bạn gặp bất kỳ triệu chứng nào liên quan đến hẹp khe khớp gối, hãy tìm kiếm sự tư vấn từ bác sĩ chuyên khoa để có phương pháp điều trị phù hợp.
Lưu ý: Thông tin trong bài viết chỉ mang tính chất tham khảo, vui lòng liên hệ với Bác sĩ, Dược sĩ hoặc Chuyên viên Y tế để được tư vấn cho từng trường hợp Bệnh cụ thể, tuyệt đối không làm theo hướng dẫn trong bài viết.