Giãn phế quản là một trong những bệnh lý về phổi. Bệnh tiến triển mạn tính với các đợt bùng phát nhiễm khuẩn xen kẽ các đợt ổn định. Vậy triệu chứng và nguyên nhân ra sao chúng ta cùng tham khảo bài viết dưới đây nhé.
Tổng quan chung
Giãn phế quản (tiếng Anh là Bronchiectasis) là tình trạng giãn không hồi phục một phần của cây phế quản, có thể giãn ở phế quản lớn trong khi phế quản nhỏ vẫn bình thường, hoặc giãn ở phế quản nhỏ trong khí phế quản lớn bình thường.
Giãn phế quản được chia thành giãn phế quản hình túi, giãn phế quản hình trụ và giãn phế quản hình tràng hạt dựa trên giải phẫu bệnh lý.
Triệu chứng
Người bệnh có thể bị sốt trong giai đoạn có nhiều chất nhầy và mủ ứ đọng trong phế quản, đặc biệt là có bội nhiễm vi sinh vật. Sốt có thể trên 38 độ C kèm theo ho kéo dài, rất nhiều đờm lẫn với mủ.
Khi bệnh nặng, đờm và mủ lại tăng nhiều hơn, người bệnh ho tăng lên. Dịch đờm thường có 3 lớp khá rõ: lớp trên là bọt, lớp giữa là chất nhầy và lớp dưới là mủ đặc quánh. Mùi của dịch đờm khạc ra rất hôi. Một số bệnh nhân khạc ra có máu lẫn với chất nhầy hoặc lẫn với đờm hoặc lẫn với mủ, nhầy. Chất đờm là do các mao mạch ở thành phế quản chịu áp lực mạnh khi người bệnh ho, khạc làm cho niêm mạc của phế quản bị tổn thương. Trong những trường hợp này, người bệnh thường đến gặp bác sĩ khám bệnh,
Người bệnh có thể ho thành từng cơn, thường nhất là vào sáng sớm, lúc vừa ngủ dậy (người có tuổi thường ho vào ban đêm, nhất là mùa rét). Mỗi lần thay đổi tư thế hoặc thay đổi thời tiết thì ho lại tăng lên làm cho người bệnh mất ngủ kéo dài. Người bệnh thường mệt mỏi, chán ăn.
Lồng ngực có thể bị biến dạng (bên bị giãn phế quản bé hơn bên lành). Đau tức ngực và khó thở là hiện tượng thường thấy ở người giãn phế quản, tuy vậy, triệu chứng tức ngực chiếm tỷ lệ cao hơn khó thở. Hiện tượng vừa bị tức ngực vừa bị khó thở kèm theo làm cho người bệnh rất khó chịu.
Nguyên nhân
Giãn phế quản là trạng thái các phế quản bị giãn rộng toàn bộ hay từng phần do các lớp tổ chức cơ trơn đàn hồi của phế quản bị tổn thương bởi viêm nhiễm hoặc các tác nhân vật lý khác làm tắc nghẽn đường hô hấp. Có 3 loại giãn phế quản, đó là giãn phế quản mắc phải, giãn phế quản bẩm sinh và giãn phế quản vô căn.
- Giãn phế quản mắc phải chiếm tỷ lệ cao nhất, khoảng 90% và thường xảy ra sau khi mắc phải các bệnh viêm đường hô hấp kéo dài và tái phát nhiều lần dẫn đến tổn thương các sợi cơ, sợi chun và sụn của phế quản. Đồng thời, các chất xuất tiết ùn tắc lại trong phế quản và gây ra phản xạ ho từ đó gây tăng áp lực trong lòng phế quản kéo dài và dẫn tới giãn phế quản.
- Bệnh điển hình ở đường hô hấp dưới làm gia tăng bệnh giãn phế quản như lao phổi, áp-xe phổi mạn tính, bệnh phế nang viêm xơ hóa, bệnh viêm phổi do virus, vi khuẩn… Sau khi điều trị khỏi sẽ gây ra các xơ sẹo, chúng phát triển gây biến dạng và chít hẹp phế quản.
- Với các bệnh nhiễm trùng do virus hoặc vi khuẩn ở phổi và phế quản (cúm, sởi, adenovirus, ho gà) gây ho và tăng áp lực trong lòng phế quản kéo dài, lúc đầu, giãn phế quản chỉ là tạm thời nhưng nếu điều trị không đúng hoặc không dứt điểm để bệnh trở thành mãn tính dẫn tới bệnh giãn phế quản.
- Ngoài ra, còn có các nguyên nhân như polyp phế quản, dị vật phế quản, lao hạch, bệnh Hodgkin, ung thư hạ họng hoặc do hít phải hóa chất dài ngày làm chít hẹp lòng phế quản gây giãn phế quản.
Bên cạnh đó, phải kể đến do phế quản lớn bị tắc nghẽn (lao hạch phế quản, hoặc dị vật rơi vào phế quản ở trẻ em, u phế quản…) làm cho phía dưới phế quản bị chít hẹp lại gây áp lực nội phế quản tăng lên và dịch tiết ùn tắc gây nên nhiễm khuẩn mạn tính tại chỗ rồi phát triển thành giãn phế quản.
Đối với giãn phế quản bẩm sinh chỉ chiếm khoảng 10%. Giãn phế quản bẩm sinh có thể là khuyết tật hoặc không có sụn phế quản nên phế quản phình ra khi hít vào, xẹp xuống khi thở ra. Đa số dạng này đều thấy ở người trẻ và có kết hợp với bệnh phổi đa nang.
Ngoài ra còn gặp giãn phế quản vô căn có thể do rối loạn thanh lọc phổi phế quản, loại này thường gặp ở người trưởng thành.
Đối tượng nguy cơ
Bệnh giãn phế quản gặp ở mọi lứa tuổi, bệnh thường phát sinh khi ở tuổi thanh thiếu niên và nam nhiều hơn nữ.
Chẩn đoán
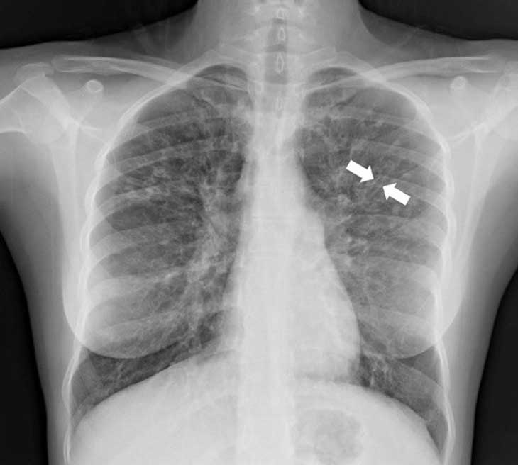
Bệnh giãn phế quản được chẩn đoán bằng hình ảnh X-quang, hầu như luôn đi kèm với chụp CT ở ngực
Chụp CT sẽ thể hiện vùng và mức độ nặng của bệnh giãn phế quản và có thể đưa ra những đầu mối về nguyên nhân của bệnh này. Nhà cung cấp dịch vụ y tế của bạn cũng có thể yêu cầu đo chức năng phổi (các bài kiểm tra về hô hấp) và lấy đờm của bạn để tìm các vi trùng cụ thể. Việc cấy đờm này sẽ giúp xác định kháng sinh nào có hiệu quả tốt nhất trong đợt cấp. Trong một số trường hợp, bác sĩ có thể yêu cầu nội soi phế quản, trong đó một ống dài với đèn và camera ở cuối ống được đặt vào đường thở để lấy chất nhầy ra.

Phòng ngừa bệnh
Một số phương pháp phòng bệnh giãn phế quản như:
- Phòng bệnh giãn phế quản cần vệ sinh đường hô hấp trên hàng ngày như: đánh răng, súc họng bằng nước muối.
- Không nên để viêm amidan, viêm họng hạt, viêm chân răng, viêm lợi, viêm mũi, xoang mạn tính.
- Khi phát hiện bị viêm đường hô hấp, cần đi khám bệnh và điều trị dứt điểm theo đơn thuốc và chỉ dẫn của bác sĩ.
- Đối với trẻ sơ sinh và người chưa có miễn dịch chống vi khuẩn lao, cần được tiêm phòng vắc xin phòng lao (vắc-xin BCG), đặc biệt trẻ sơ sinh bắt buộc phải tiêm vắc xin này.
- Tiêm vắc xin phòng cúm hàng năm và tiêm vắc-xin phòng phế cầu mỗi 4 năm.
- Cần nâng cao thể trạng và nên tập thể dục đều đặn, đúng bài bản, luôn giữ cho bộ máy hô hấp hoạt động bình thường.
- Mùa lạnh, cần giữ ấm cổ và mặc ấm.
- Khi tắm, cần tránh gió lùa.
- Không hút thuốc lá, thuốc lào.
- Làm việc trong môi trường có nhiều bụi, cần đeo khẩu trang đúng tiêu chuẩn để ngăn ngừa hít phải bụi.
Việc phát hiện sớm bệnh giãn phế quản có ý nghĩa quan trọng đối với việc chẩn đoán và điều trị bệnh hiệu quả. Khi có những dấu hiệu bất thường, người bệnh không nên chủ quan, hãy đến ngay các cơ sở y tế uy tín để được thăm khám và thực hiện các xét nghiệm cần thiết trong những trường hợp ho khạc đờm kéo dài.
Điều trị như thế nào?
Phế quản giãn là tổn thương không thể hồi phục được. Mục tiêu của việc điều trị là giảm triệu chứng, đồng thời ngăn bệnh tiến triển nặng và tái phát, từ đó nâng cao chất lượng cuộc sống cho người bệnh. Các phương pháp điều trị thường được áp dụng cho bệnh nhân có vấn đề ở phế quản gồm:
- Dẫn lưu đờm mủ: Việc này được thực hiện bằng cách ho khạc đờm, vỗ rung lồng ngực kết hợp với dẫn lưu theo tư thế. Mục đích là giúp phế quản và đường thở trở nên thông thoáng, giảm tình trạng tắc nghẽn và các triệu chứng khó chịu.
- Điều trị bằng thuốc: Kháng sinh thường được sử dụng trong đợt cấp của bệnh có bội nhiễm. Khi nghe phổi có ran rít, ngáy, bác sĩ có thể chỉ định các loại thuốc giãn phế quản để giúp giảm triệu chứng của bệnh. Trong các trường hợp ho ra máu thì tùy theo mức độ ho máu mà bác sĩ sẽ có chỉ định điều trị khác nhau. Trong đợt cấp, nếu người bệnh gặp phải tình trạng thiếu oxy máu trầm trọng, các bác sĩ sẽ cho bệnh nhân thở oxy. Các loại thuốc hay phương pháp này cần được thực hiện theo sự hướng dẫn của các bác sĩ chuyên khoa. Người bệnh cần tuân thủ phác đồ điều trị, không tự ý bỏ thuốc, thay đổi loại thuốc.
- Điều trị ngoại khoa: Trong trường hợp bệnh nhân ho ra máu nặng hoặc dai dẳng, tắc do khối u…, bác sĩ có thể chỉ định cắt thùy phổi hoặc một bên phổi.
Trên đây là một số chia sẻ về giãn phế quản hi vọng giúp các bạn hiểu hơn về giãn phế quản.
Xin lưu ý: Thông tin trong bài viết chỉ mang tính chất tham khảo. Độc giả vui lòng liên hệ với Bác sĩ, Dược sĩ hoặc chuyên viên y tế để được tư vấn cụ thể và chính xác nhất.
Lưu ý: Thông tin trong bài viết chỉ mang tính chất tham khảo, vui lòng liên hệ với Bác sĩ, Dược sĩ hoặc Chuyên viên Y tế để được tư vấn cho từng trường hợp Bệnh cụ thể, tuyệt đối không làm theo hướng dẫn trong bài viết.



