Phụ nữ trong quá trình mang thai đều muốn có một thai kỳ khỏe mạnh. Tuy nhiên, trong quá trình mang thai sẽ có một số trường hợp mẹ bầu mắc các bệnh không mong muốn, trong đó có đa ối. Đa ối là một trong những tai biến sản khoa nguy hiểm, không chỉ gây khó chịu cho mẹ bầu mà còn có khả năng đe dọa đến tính mạng của thai nhi. Vậy cần làm gì để ngăn ngừa và đối phó với tình trạng này. Hãy cùng tìm hiểu qua bài viết sau.
Tổng quan chung
Đa ối được hiểu một cách đơn giản là tình trạng tích tụ quá nhiều nước ối. Trong đó nước ối là phần chất lỏng bao bọc và được thải từ thận của thai nhi, có tác dụng bảo vệ thai nhi khỏi bị chấn thương khi còn ở trong bụng mẹ. Đồng thời, nước ối có tác dụng kháng khuẩn giúp bảo vệ thai nhi khỏi bị nhiễm trùng và giúp phổi phát triển.
Ngoài ra, nước ối còn chứa dinh dưỡng từ mẹ. Thai nhi thỉnh thoảng sẽ nuốt nước ối để phát triển và giúp vị giác tốt hơn. Nước ối cũng có tác dụng giữ thân nhiệt thai nhi được ổn định.
Nước ối bắt đầu xuất hiện từ khoảng tuần thứ 12 của thai kỳ và tăng dần, đến tuần thứ 37 sẽ được khoảng 1 lít. Lượng nước sẽ giảm dần và đến tuần thứ 40 thì còn khoảng 0,5 lít. Trong trường hợp lượng nước ối vượt quá 2000ml sẽ được xác định là dư ối, đa ối.
Tình trạng đa ối trong quá trình mang thai
Triệu chứng đa ối
- Triệu chứng của đa ối trong phần lớn các trường hợp thường rất kín đáo, lượng nước ối tăng lên một cách từ từ, thai phụ có thể không cảm nhận được sự thay đổi trong cơ thể. Những trường hợp này nhờ vào những lần đi khám thai định kỳ mà vô tình phát hiện ra tình trạng đa ối.
- Đôi khi, đa ối xuất hiện trong bệnh cảnh hết sức cấp tính, khiến cho thai phụ đột ngột đau bụng, cảm giác khó thở. Những trường hợp này khiến cho thai phụ hết sức lo lắng, mạch nhanh, và có thể khám thấy tình trạng phù toàn thân.
- Đa ối khiến cho tử cung to quá mức, gây chèn ép vào niệu quản ở 1 hoặc 2 bên, dẫn đến tình trạng thiểu niệu.
- Vì lượng nước ối nhiều bất thường khiến cho tử cung căng và to hơn so với tuổi thai. Khi khám, sờ nắn các phần thai sẽ khó cảm nhận, có thể thấy phản ứng sóng vỗ, và nghe tiếng tim thai xa xăm.

Khó thở đột ngột ở thai phụ có thể là biểu hiện của đa ối
Nguyên nhân gây ra đa ối
Đa ối có thể xuất phát từ một số bệnh lý của mẹ
- Phụ nữ bị đái tháo đường trước hoặc trong khi mang bầu là nguyên nhân thường gặp. Có khoảng 10% phụ nữ mang thai bị đái tháo đường gặp phải tình trạng đa ối nếu không được kiểm soát bệnh tốt.
- Nếu mẹ bầu bị các bệnh tán huyết thứ phát gây ra do kháng thể bất thường hay kháng thể Rh sẽ khiến thai nhi bị thiếu máu trầm trọng hoặc bị phù thai. Tình trạng này liên quan đến đa ối.
- Việc mẹ bị nhiễm virus khi mang thai như virus rubella cũng có thể gây đa ối.

Dị tật thai nhi có thể gây đa ối
- Nếu thai nhi bị bất thường hệ thống thần kinh trung ương như vô sọ, khuyết tật ống nơ ron thần kinh hay bị khuyết tật cấu trúc hệ tiêu hóa cũng có thể dẫn đến tình trạng đa ối. Các bất thường về nhiễm sắc thể của thai nhi cũng tăng nguy cơ mắc phải tình trạng này.
- Hội chứng truyền máu song thai cũng là nguyên nhân gây đa ối. Song thai một màng đệm, hai túi ối là biến chứng do đa ối gây ra.
Một số bất thường tại phần phụ khác
- Rau thai bất thường, u mạch máu màng đệm có thể dẫn đến suy tim thai và gây nên tình trạng đa ối.
- Viêm nội mạc tử cung, giang mang gây tổn thương bánh rau, phù rau thai… cũng gây đa ối.
Đối tượng nguy cơ mắc đa ối
Tình trạng đa ối thường được tìm thấy đối với các đối tượng sau:
- Mẹ có tiền sử đái tháo đường, mẹ được chẩn đoán đái tháo đường thai kỳ
- Song thai, đa thai
- Tiền sử có con bị dị tật bẩm sinh
Chẩn đoán đa ối
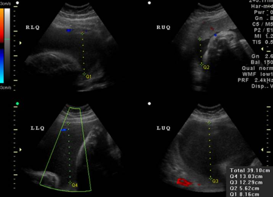
Chẩn đoán đa ối dựa vào các dấu hiệu lâm sàng tử cung căng, to hơn so với tuổi thai, khó sờ thấy các phần của thai. Để chẩn đoán xác định đa ối cần dựa vào siêu âm đo chỉ số ối AFI.
- Chỉ số ối AFI lớn hơn hoặc bằng 25cm: chẩn đoán đa ối
- Cần làm thêm một số xét nghiệm cận lâm sàng để chẩn đoán nguyên nhân: xét nghiệm đường máu, làm nghiệm pháp dung nạp đường huyết từ tuần 24-26 để chẩn đoán đái tháo đường thai kỳ. Xét nghiệm nhóm máu xem có sự bất đồng nhóm máu mẹ con.
- Siêu âm giúp khảo sát một số nguyên nhân đa ối như: dị tật thai nhi, song thai, đa thai,..
- Ngoài ra siêu âm còn giúp chẩn đoán phân biệt đa ối với cổ trướng hay u buồng trứng.

Phòng ngừa bệnh đa ối
Để phòng ngừa đa ối, thai phụ cần lưu ý:
- Thai phụ cần được quản lý thai nghén tốt, khám thai theo lịch hẹn và khám lại ngay khi xuất hiện các bất thường như đau bụng, khó thở, thấy bụng to tăng nhanh quá mức…
- Thời điểm thai 24-28 tuần cần được kiểm tra nghiệm pháp dung nạp đường huyết để phát hiện tiểu đường thai kỳ và có thái độ xử trí phù hợp. Những trường hợp có nguy cơ cao tiểu đường thai kỳ như tiền sử tiểu đường thai kỳ ở những lần mang thai trước, gia đình có người tiểu đường… cần điều chỉnh chế độ ăn ngay từ giai đoạn đầu thai nghén và được kiểm soát đường huyết chặt chẽ.
- Chẩn đoán sàng lọc trước sinh bằng hình thái nhờ siêu âm hoặc các xét nghiệm sàng lọc Double test, Triple test, NIPT…tìm các dị tật bẩm sinh trong giai đoạn sớm của thai kỳ.

Điều trị như thế nào?
Trường hợp đa ối không rõ nguyên nhân, trong số đó có gần một nửa trường hợp đa ối không liên quan đến bất thường bẩm sinh như dị dạng, đái tháo đường thai kỳ, nhiễm trùng ối, các bệnh tự miễn, song thai, đa thai. Tuy nhiên khi khảo sát hình thái học ở bình thường vẫn không thể loại bỏ được một số nguyên nhân như dị tật thai hay bất thường các nhiễm sắc thể .
- Nghỉ ngơi tại giường
- Nhập viện khi thai phụ khó thở, đau bụng, khó khăn trong việc đi lại,…
- Hạn chế muối, có thể dùng một số thuốc lợi tiểu,..
Tùy giai đoạn phát hiện đa ối mà có các hướng xử trí khác nhau. Đa ối xuất hiện ba tháng giữa thai kỳ cần:
Đa ối xuất hiện ba tháng giữa thai kỳ cần:
- Siêu âm khảo khát hình thái học thai nhi chuyên sâu để tìm các dị tật bẩm sinh
- Làm nghiệm pháp dung nạp đường huyết từ tuần thứ 24-28 của thai kỳ
- Hội chẩn trung tâm chẩn đoán trước sinh để cân nhắc làm các xét nghiệm di truyền tìm bất thường nhiễm sắc thể
- Khám định kỳ, theo dõi sát
Đa ối xuất hiện 3 tháng cuối thai kỳ cần
- Kiểm tra biểu đồ tăng trưởng thai nhi
- Loại trừ các nguyên nhân nội khoa của mẹ
- Tuỳ vào kết quả xét nghiệm sàng lọc quý 1,2 mà tư vấn xét nghiệm di truyền học cho thai nhi
- Cân nhắc thuốc trưởng thành phổi trong trường hợp trẻ có nguy cơ đẻ non
- Cân nhắc hút bớt dịch trong trường hợp quá khó thở, chèn ép tim phổi ảnh hưởng đến toàn trạng của mẹ. Cần được sự đồng ý can thiệp thủ thuật của bệnh nhân cũng như gia đình.
Đa ối là tình trạng nguy hiểm ở mẹ bầu và thai nhi. Hy vọng bài viết này có thể mang lại các thông tin.
Lưu ý: Thông tin trong bài viết chỉ mang tính chất tham khảo, vui lòng liên hệ với Bác sĩ, Dược sĩ hoặc Chuyên viên Y tế để được tư vấn cho từng trường hợp Bệnh cụ thể, tuyệt đối không làm theo hướng dẫn trong bài viết.



