Bụi phổi silic là một bệnh phổi nghề nghiệp nghiêm trọng do hít phải các hạt bụi silic. Các hạt bụi này tích tụ sâu trong phổi, gây tổn thương nghiêm trọng hệ hô hấp. Bài viết dưới đây cung cấp thông tin chi tiết về bệnh này từ góc nhìn của chuyên gia.
Tổng quan chung
Silic là một nguyên tố tồn tại dưới dạng tinh thể nhỏ, giống như pha lê, có thể tìm thấy trong đá, cát hoặc quặng khoáng sản như thạch anh. Silic thường được sử dụng trong các ngành công nghiệp như sản xuất nhựa đường, bê tông, thủy tinh và các vật liệu xây dựng khác.
Bệnh bụi phổi silic (tiếng Anh: Silicosis) là một bệnh phổi nghề nghiệp xảy ra do hít phải bụi chứa silic tự do. Bệnh này gây tổn thương nghiêm trọng hệ hô hấp do các hạt bụi silic xâm nhập và tích tụ trong phổi mà không được đào thải ra ngoài. Bệnh bụi phổi silic có thể dẫn đến các biến chứng nghiêm trọng và thậm chí tử vong nếu không được phát hiện và điều trị kịp thời.
Các loại bệnh bụi phổi silic
Bệnh bụi phổi silic được chia thành ba loại dựa trên thời gian và mức độ tiếp xúc với bụi silic:
- Cấp tính: Bệnh phát triển sau vài tuần đến vài năm tiếp xúc với bụi silic ở nồng độ cao. Bệnh tiến triển nhanh với các triệu chứng như khó thở nghiêm trọng, phổi chứa đầy chất lỏng và lượng oxy trong máu thấp. Người bệnh có thể bị suy hô hấp nhanh chóng và cần sự can thiệp y tế ngay lập tức.
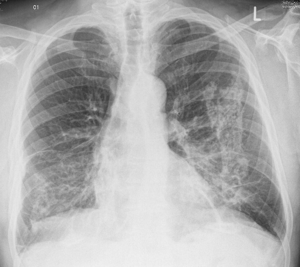
- Mạn tính: Xuất hiện sau khoảng 10-30 năm tiếp xúc với bụi silic ở nồng độ thấp. Bệnh thường không có triệu chứng rõ ràng, nhưng có thể phát hiện qua chụp X-quang phổi. Triệu chứng điển hình là sưng phổi và hạch bạch huyết ở ngực gây khó thở. Bệnh nhân có thể không nhận ra mình bị bệnh cho đến khi bệnh tiến triển nghiêm trọng.
- Bệnh tiến triển: Xảy ra khi làm việc trong môi trường có nồng độ bụi silic cao trong 5-10 năm. Biểu hiện là sưng phổi và các triệu chứng khác xuất hiện nhanh hơn so với mạn tính. Bệnh tiến triển có thể dẫn đến các biến chứng nghiêm trọng như suy hô hấp và tăng nguy cơ mắc các bệnh phổi khác.
Ngoài ra còn có một loại bệnh bụi phổi ít gặp khác được gọi là bệnh phổi silic phức tạp, hay còn gọi là bệnh bụi phổi tụ huyết. Bệnh này hình thành nên nhiều vết sần lớn hơn 1 cm và để lại nhiều sẹo ở phổi. Những nốt sần nhỏ sẽ hợp lại với nhau và tạo nên những nốt sần viêm lớn hơn. Nếu người bệnh còn mắc các bệnh viêm phổi khác như lao, ung thư phổi nhiễm nấm, nhiễm khuẩn mycobacteria không lao thì tình trạng trên sẽ ngày càng trầm trọng hơn.
Triệu chứng
Các triệu chứng ban đầu của bệnh bụi phổi silic có thể bao gồm:
- Ho dai dẳng, kèm theo đờm
- Khó thở
- Hụt hơi
Các triệu chứng tiến triển bao gồm:
- Mệt mỏi
- Giảm cân
- Đau ngực
- Sốt
- Đổ mồ hôi đêm
- Chân bị sưng
- Môi xanh
- Suy hô hấp
Các triệu chứng của bệnh bụi phổi silic thường xuất hiện từ từ và có thể bị nhầm lẫn với các bệnh phổi khác. Điều này làm cho việc chẩn đoán bệnh trở nên khó khăn hơn và có thể dẫn đến việc điều trị không kịp thời.
Nguyên nhân
Bệnh bụi phổi silic xảy ra khi hít phải bụi silic, các hạt này sẽ gây ra các vết cắt nhỏ và mô sẹo trong phổi, làm phổi bị xơ hóa và mất chức năng. Khi người bệnh hít phải bụi silic qua mũi hoặc miệng, các tinh thể này sẽ hoạt động như những lưỡi dao nhỏ trên phổi, tạo ra những vết cắt nhỏ và các mô sẹo. Phổi bị xơ hóa nên mất chức năng khiến người bệnh bị khó thở.
Đối tượng nguy cơ
Những người làm việc trong các ngành nghề sau có nguy cơ cao mắc bệnh bụi phổi silic:
- Khai thác đá, khoáng sản
- Luyện kim, đúc
- Đẽo và mài đá
- Sản xuất và sử dụng đá mài, bột đánh bóng
- Chế tạo thủy tinh, gốm sứ, gạch chịu lửa
- Làm sạch hoặc làm nhẵn bằng tia cát
Các ngành nghề này thường tiếp xúc với bụi silic tự do, làm tăng nguy cơ mắc bệnh bụi phổi silic. Để giảm thiểu nguy cơ, người lao động cần được trang bị đầy đủ thiết bị bảo hộ và tuân thủ các quy định an toàn lao động.
Chẩn đoán
Để chẩn đoán bệnh bụi phổi silic, bác sĩ sẽ:
- Hỏi về các triệu chứng và quá trình làm việc của bệnh nhân
- Chụp X-quang phổi hoặc CT phổi để quan sát tổn thương
- Kiểm tra chức năng phổi
- Xét nghiệm đờm
- Nội soi phế quản
- Sinh thiết phổi
Trong quá trình thăm khám, bác sĩ sẽ hỏi về nhịp thở của bệnh nhân, cả khi nghỉ ngơi và trong lúc tập thể dục. Bên cạnh đó, bác sĩ cũng sẽ hỏi chi tiết về quá trình làm việc của bệnh nhân để xác định khả năng tiếp xúc với bụi silic. Bệnh nhân nên chuẩn bị các thông tin liên quan đến triệu chứng, phương pháp điều trị đã thử, và lịch sử công việc trước khi đến gặp bác sĩ.

Phòng ngừa bệnh
Phòng ngừa bệnh bụi phổi silic bao gồm các biện pháp kỹ thuật, y tế và cá nhân:
- Kỹ thuật: Sử dụng nguyên liệu ít bụi silic, tăng độ ẩm nơi làm việc, quy trình sản xuất tự động và khép kín. Cách ly khu vực phát sinh bụi với các khu vực sản xuất khác. Tổ chức thời gian sản xuất hợp lý để giảm tiếp xúc với bụi silic.
- Y tế: Kiểm tra môi trường lao động định kỳ, khám sức khỏe định kỳ cho người lao động, cấp phát thiết bị bảo hộ cá nhân. Định kỳ kiểm tra đánh giá môi trường lao động và thực hiện các nội dung quản lý sức khỏe người lao động ngay từ ban đầu.
- Cá nhân: Tuân thủ quy định an toàn lao động, sử dụng thiết bị bảo hộ, nâng cao nhận thức về nguy cơ sức khỏe tại nơi làm việc. Người lao động cần hiểu và nắm được các nguy cơ sức khỏe tại vị trí công việc được phân công để kịp thời phòng ngừa các tác động xấu đến sức khỏe của bản thân.
Bên cạnh các biện pháp trên, cần truyền thông giáo dục nâng cao nhận thức cho người lao động và trách nhiệm của người sử dụng lao động để công tác chăm sóc và nâng cao sức khỏe người lao động đạt hiệu quả.
Điều trị như thế nào?
Bệnh bụi phổi silic không thể chữa khỏi hoàn toàn, các phương pháp điều trị nhằm giảm triệu chứng và làm chậm tiến triển của bệnh:
- Thuốc giãn phế quản: Giúp giảm viêm và tăng khẩu kính đường thở.
- Đeo mặt nạ oxy: Tăng lượng oxy trong máu và cung cấp không khí cho phổi.
- Bỏ thuốc lá: Hút thuốc lá làm trầm trọng thêm tình trạng bệnh và tăng nguy cơ ung thư phổi.
- Ghép phổi: Phẫu thuật ghép phổi có thể cần thiết trong trường hợp bệnh nặng.
Bệnh nhân bị bụi phổi silic có nguy cơ mắc bệnh lao cao hơn, do đó cần xét nghiệm lao thường xuyên. Các phương pháp điều trị này giúp cải thiện chất lượng cuộc sống của người bệnh và giảm nguy cơ biến chứng nghiêm trọng.
Xin lưu ý: Thông tin trong bài viết chỉ mang tính chất tham khảo. Độc giả vui lòng liên hệ với Bác sĩ, Dược sĩ hoặc chuyên viên y tế để được tư vấn cụ thể và chính xác nhất.
Lưu ý: Thông tin trong bài viết chỉ mang tính chất tham khảo, vui lòng liên hệ với Bác sĩ, Dược sĩ hoặc Chuyên viên Y tế để được tư vấn cho từng trường hợp Bệnh cụ thể, tuyệt đối không làm theo hướng dẫn trong bài viết.



