Bệnh khớp do thần kinh, hay còn gọi là bệnh khớp Charcot, là một tình trạng phức tạp và nghiêm trọng ảnh hưởng đến khớp và xương. Nó thường xảy ra ở những người có tổn thương thần kinh, khiến cho khớp bị mất cảm giác và dẫn đến tổn thương nếu không được phát hiện kịp thời. Bài viết này sẽ cung cấp cho bạn cái nhìn tổng quan về bệnh khớp do thần kinh, các triệu chứng, nguyên nhân, đối tượng nguy cơ, chẩn đoán, phòng ngừa và điều trị.
Tổng quan chung
Bệnh khớp do nguyên nhân thần kinh là bệnh có những thay đổi về xương, khớp thứ phát do giảm hay mất cảm giác chi phối vì rất nhiều nguyên nhân khác nhau gây nên.
Bệnh còn có tên là bệnh khớp Charcot, do Charcot là người đầu tiên mô tả mối liên quan giữa một số bệnh khớp và triệu chứng mất cảm giác vào năm 1868.
Bệnh khớp do thần kinh là tình trạng phá hủy khớp do mất cảm giác thần kinh, thường xảy ra ở các bệnh nhân bị tiểu đường, bệnh phong, hoặc tổn thương tủy sống. Sự mất cảm giác này dẫn đến việc không nhận biết được các chấn thương nhỏ, gây ra tổn thương khớp liên tục và dần dần dẫn đến biến dạng nghiêm trọng.
Cơ chế của bệnh vẫn còn chưa rõ ràng. Tuy nhiên, nhìn chung đa số các tác giả cho rằng bệnh có liên quan đến rối loạn mất nhận cảm và cảm giác sâu cơ thể làm mất cơ chế tự bảo vệ dẫn đến các chấn thương tại chỗ tái phát liên tục, gây tổn thương hủy hoại, thoái hóa cấu trúc sụn, xương và phần mềm quanh khớp. Một số tác giả khác lại đề ra giả thuyết phản xạ mạch máu – thần kinh làm giãn mạch, tăng lưu lượng máu tại chỗ gây sung huyết, ứ máu dẫn đến tăng hoạt tính tiêu xương làm hủy hoại khớp, xương.
Triệu chứng
Khi gặp phải bệnh khớp do thần kinh, người bệnh thường chưa có dấu hiệu rõ rệt, chỉ đến khi bệnh tiến triển năng, người bệnh mới gặp phải triệu chứng như:
- Mất các phản xạ bảo vệ nhưng trương lực cơ vẫn bình thường.
- Sưng và đau ở khớp mà không rõ nguyên nhân.
- Khớp nóng, đỏ và mềm khi chạm vào.
- Khả năng vận động của khớp bị hạn chế.
- Biến dạng khớp, xương.
- Khớp bị lỏng lẻo hoặc không ổn định.
- Khớp thoái hóa thứ phát suy yếu phì đại.
- Người bệnh mất cảm giác tại các khớp tổn thương như đau hay nóng lạnh.
- Mọc gai xương, sụn khớp bị bào mòn.
Nguyên nhân
Có nhiều nguyên nhân của bệnh khớp do nguyên nhân thần kinh, hay gặp nhất là do bệnh đái tháo đường, giang mai biến chứng thần kinh (còn có tên là bệnh Tabes dorsalis) và bệnh rỗng tủy xương (Syringomyelia).
Theo nhiều nghiên cứu trên thế giới, có tới 15% bệnh nhân đái tháo đường, 10 – 20% bệnh nhân giang mai và 20 – 25% bệnh nhân rỗng tủy xương có biểu hiện bệnh khớp do nguyên nhân thần kinh.
Ngoài ra triệu chứng bệnh còn gặp trong nhiều bệnh khác như sau chấn thương đặc biệt có chèn ép tủy sống hay tổn thương thần kinh ngoại biên, nhiều bệnh thần kinh di truyền khác, bệnh lý nhiễm khuẩn, do dùng corticoid, nghiện rượu, bệnh phong, hội chứng Raynaud, cường vỏ tuyến thượng thận, bệnh hệ thống như xơ cứng bì, viêm khớp dạng thấp, trẻ dị tật bẩm sinh do mẹ dùng thuốc Thalidomide trong thời kỳ mang thai, rối loạn cảm giác cận ung thư…
Nguyên nhân chính gây ra bệnh khớp do thần kinh là do tổn thương các dây thần kinh cảm giác. Những nguyên nhân phổ biến bao gồm:
- Bệnh tiểu đường: Đây là nguyên nhân hàng đầu dẫn đến bệnh khớp Charcot, đặc biệt là ở bàn chân.
- Bệnh phong: Gây tổn thương các dây thần kinh ngoại biên, dẫn đến mất cảm giác.
- Chấn thương tủy sống: Làm mất khả năng cảm nhận đau và nhiệt độ ở các chi.
- Nhiễm trùng và viêm: Có thể gây tổn thương thần kinh, dẫn đến tình trạng này.
Đối tượng nguy cơ
Mọi đối tượng đều có nguy cơ mắc bệnh khớp do thần kinh, đặc biệt là người mắc bệnh lý đái tháo đường, giang mai. Một số nhóm người có nguy cơ cao mắc bệnh khớp do thần kinh bao gồm:
- Người bị tiểu đường, đặc biệt là tiểu đường lâu năm.
- Người mắc bệnh phong.
- Người bị chấn thương tủy sống.
- Người có tiền sử tổn thương thần kinh.
Chẩn đoán
Chẩn đoán bệnh khớp do thần kinh thường dựa trên lâm sàng và các xét nghiệm hình ảnh. Quy trình chẩn đoán bao gồm:
- Khám lâm sàng: Bác sĩ sẽ kiểm tra các triệu chứng lâm sàng, lịch sử bệnh lý và tiền sử chấn thương.
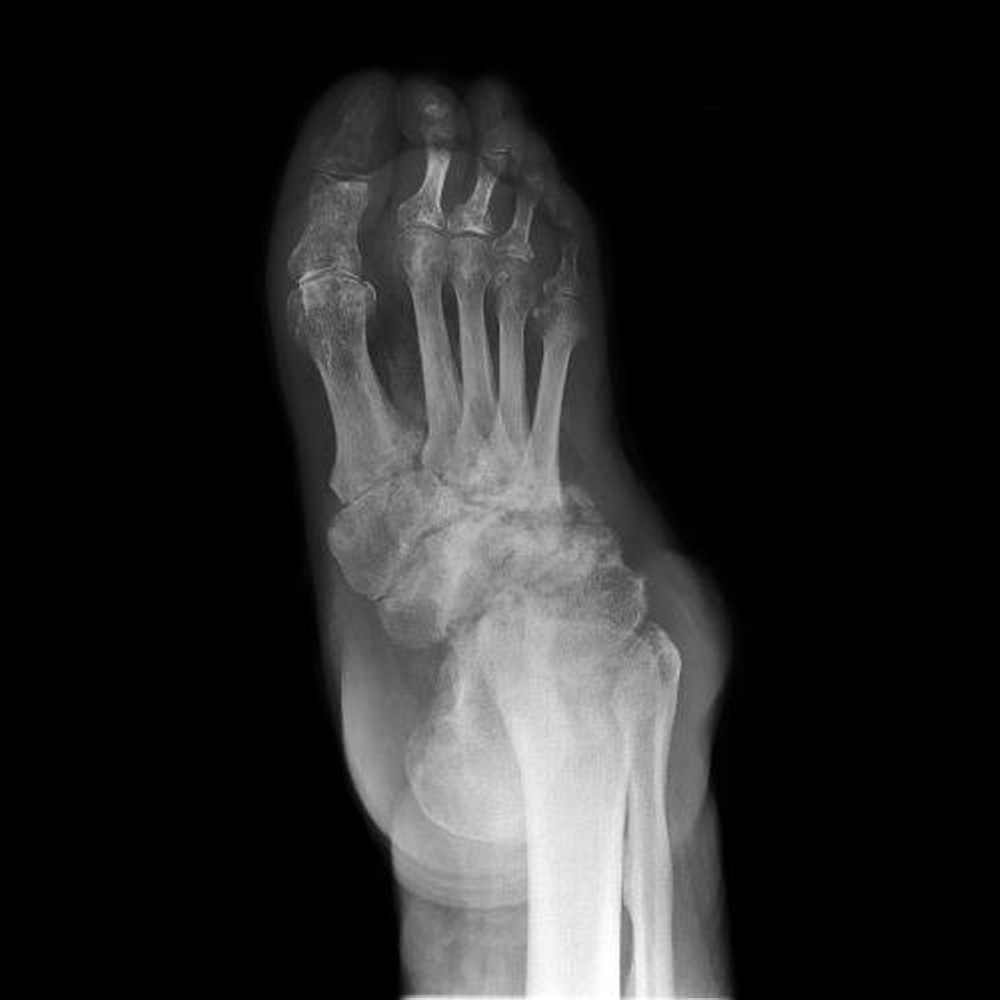
- X-quang: Giúp phát hiện các tổn thương xương và biến dạng khớp.
- MRI: Cung cấp hình ảnh chi tiết về tình trạng khớp và các mô mềm xung quanh.
- CT scan: Sử dụng trong các trường hợp cần thiết để đánh giá tổn thương chi tiết hơn.
Chẩn đoán bệnh khớp thần kinh nên được xem xét ở bệnh nhân có rối loạn thần kinh trước đó, xuất hiện tổn thương hủy khớp nhưng không đau tương xứng, thường là vài năm sau bệnh lý thần kinh. Nếu nghi ngờ bệnh lý khớp thần kinh, nên chụp X-quang. Chẩn đoán bằng những bất thường điển hình trên phim X-quang ở bệnh nhân có bệnh nguy cơ và các triệu chứng cơ năng và thực thể điển hình.
X-quang bất thường ở bệnh khớp thần kinh sớm thường tương tự như ở thoái hóa khớp. Các dấu hiệu chính là:
- Mảnh xương
- Phá hủy xương
- Tạo xương mới
- Mất khe khớp
Có thể có tràn dịch khớp và lỏng lẻo khớp. Sau đó, xương bị biến dạng, và các xương mới tạo ở gần vỏ, bắt đầu từ trong bao khớp và thường phát triển theo trục, đặc biệt là trong xương dài. Hiếm khi, sự calci hóa và tạo xương xảy ra trong các mô mềm. Các gai xương có kích thước lớn, kỳ quái có thể có mặt ở rìa hoặc trong các khớp. Những gai xương lớn, cong (mỏ vẹt) thường phát triển ở cột sống khi không có bệnh lý cột sống trên lâm sàng.

Phòng ngừa bệnh
Phòng ngừa bệnh khớp do thần kinh đòi hỏi một sự kết hợp giữa chăm sóc sức khỏe tổng thể và các biện pháp cụ thể nhằm vào sự linh hoạt và bảo vệ của các khớp. Dưới đây là một số gợi ý phòng ngừa:
- Duy trì cân nặng lành mạnh: Cân nặng thừa có thể tăng áp lực lên các khớp, đặc biệt là khớp gối và khớp háng. Duy trì cân nặng lành mạnh thông qua chế độ ăn uống cân đối và việc tập thể dục đều đặn có thể giảm nguy cơ mắc bệnh khớp.
- Kiểm soát đường huyết: Đối với bệnh nhân tiểu đường, duy trì mức đường huyết ổn định là cực kỳ quan trọng.
- Kiểm tra chân thường xuyên: Đối với những người có nguy cơ, kiểm tra chân hàng ngày để phát hiện sớm các tổn thương.
- Sử dụng giày dép phù hợp: Giày dép nên có đệm tốt, vừa vặn và bảo vệ chân.
- Tránh các chấn thương nhỏ: Hạn chế các hoạt động có nguy cơ gây chấn thương cho các khớp.
- Tập thể dục thường xuyên: Bài tập đều đặn giúp tăng cường cơ bắp và sức mạnh của các khớp. Tuy nhiên, nên chọn các hoạt động như bơi lội, đi bộ, yoga hoặc Pilates để giảm tải trọng và bảo vệ khớp.
- Bảo vệ khớp khi vận động: Đảm bảo sử dụng kỹ thuật đúng khi tham gia hoạt động vận động. Sử dụng đồ bảo hộ khi cần thiết, đặc biệt là khi tham gia vào các hoạt động thể chất cường độ cao.
- Thực hiện các động tác mát-xa và cố định: Các động tác mát-xa và cố định có thể giúp tăng cường sự linh hoạt và sự lưu thông máu xung quanh các khớp, giúp giảm nguy cơ viêm và đau.
- Chăm sóc đúng cách khi có chấn thương: Tránh tự ý điều trị chấn thương hoặc đau khớp mà không có sự giám sát của chuyên gia y tế. Nếu có vấn đề, hãy tìm kiếm sự tư vấn và điều trị từ bác sĩ chuyên khoa.
- Giữ tư thế đúng khi làm việc: Đảm bảo sử dụng bàn làm việc và ghế có độ cao và độ tựa phù hợp để tránh gánh nặng không cần thiết cho các khớp.
- Chăm sóc sức khỏe toàn diện: Bảo đảm bạn đang duy trì một lối sống lành mạnh bằng cách hạn chế stress, đảm bảo giấc ngủ đủ và kiểm soát các yếu tố nguy cơ như hút thuốc lá và uống rượu.
- Kiểm tra định kỳ: Điều này đặc biệt quan trọng nếu bạn có yếu tố nguy cơ cao về bệnh khớp. Điều này có thể giúp phát hiện sớm các vấn đề và điều trị chúng trước khi chúng trở nên nghiêm trọng hơn.

Nhớ rằng, việc tham khảo ý kiến của bác sĩ là quan trọng nhất khi tìm hiểu về các biện pháp phòng ngừa cũng như điều trị bệnh khớp.
Điều trị như thế nào?
Điều trị bệnh khớp do thần kinh thường phức tạp và đòi hỏi sự kết hợp giữa nhiều phương pháp:
- Điều trị nội khoa: Bao gồm kiểm soát các bệnh nền như tiểu đường, sử dụng thuốc giảm đau và chống viêm cũng như tăng mật độ xương tại chỗ. Phối hợp các biện pháp vật lý trị liệu phục hồi chức năng chống loét do tì đè.
- Phục hồi chức năng: Vật lý trị liệu để cải thiện khả năng vận động và sức mạnh của khớp.
- Thiết bị hỗ trợ: Sử dụng nẹp, giày chỉnh hình để giảm tải trọng lên khớp bị tổn thương.
- Phẫu thuật: Trong trường hợp nặng, phẫu thuật có thể cần thiết để sửa chữa hoặc thay thế khớp bị hỏng.
- Điều trị nguyên nhân, đặc biệt khi phát hiện sớm, điều trị tích cực bệnh chính có thể làm chậm quá trình tổn thương khớp.
- Điều trị bảo tồn: những trường hợp phát hiện sớm cần bất động khớp (bằng giày thiết kế chuyên dụng, bó bột hay dụng cụ nẹp ngoài…), hạn chế tối đa trọng lực cơ thể cũng như các lực ngoại cảnh tác dụng lên khớp tổn thương để bảo vệ khớp khỏi các chấn thương tiếp diễn, qua đó làm chậm tiến trình bệnh.
Trường hợp khớp tổn thương biến dạng nặng hay gãy xương có thể cần phải phẫu thuật nẹp vít bên trong xương, lấy bỏ các mảnh dị vật – các canxi hóa trong khớp, làm cứng khớp hay phẫu thuật thay khớp toàn bộ.
Phòng và điều trị các biến chứng, đặc biệt biến chứng nhiễm khuẩn phần mềm quanh khớp, nhiễm khuẩn khớp, xương.
Kết luận
Bệnh khớp do thần kinh là một tình trạng nghiêm trọng nhưng có thể quản lý được nếu được phát hiện và điều trị kịp thời. Việc hiểu rõ về nguyên nhân, triệu chứng và các biện pháp phòng ngừa có thể giúp bạn bảo vệ sức khỏe khớp và cải thiện chất lượng cuộc sống. Nếu bạn thuộc nhóm nguy cơ cao, hãy thực hiện kiểm tra sức khỏe định kỳ và tuân thủ các biện pháp phòng ngừa để giảm thiểu rủi ro mắc bệnh.
Hy vọng bài viết này đã cung cấp cho bạn những thông tin hữu ích về bệnh khớp do thần kinh. Đừng ngần ngại tham khảo ý kiến bác sĩ nếu bạn có bất kỳ triệu chứng nào nghi ngờ hoặc muốn biết thêm về tình trạng này. Chăm sóc sức khỏe khớp không chỉ giúp bạn duy trì cuộc sống năng động mà còn phòng tránh được những biến chứng nghiêm trọng trong tương lai.
Lưu ý: Thông tin trong bài viết chỉ mang tính chất tham khảo, vui lòng liên hệ với Bác sĩ, Dược sĩ hoặc Chuyên viên Y tế để được tư vấn cho từng trường hợp Bệnh cụ thể, tuyệt đối không làm theo hướng dẫn trong bài viết.



