Vôi hóa sụn khớp gây ra tình trạng sưng viêm và đau nhức tại khớp, theo thời gian sẽ khiến đầu xương bị tổn thương. Bệnh lý này khởi phát do sự tích tụ canxi bất thường tại sụn khớp. Để hiểu rõ hơn về hiện tượng này thì bạn hãy cùng tôi theo dõi bài viết bên dưới đây.
Tổng quan chung
Sụn khớp là lớp mô trong suốt, vừa cứng vừa bền dai nhưng lại đàn hồi tốt. Sụn đóng vai trò như lớp đệm bảo vệ, giúp giảm chấn động và tránh sự cọ xát giữa hai đầu xương khi khớp cử động.
Vôi hóa sụn khớp là hiện tượng lắng đọng canxi ở mô sụn có thể thấy ở hình ảnh chụp X-quang. Bệnh lý này biểu hiện bằng những đợt viêm đau dẫn tới tổn thương đầu xương sụn khớp.
Người ta chia vôi hóa sụn khớp thành hai thể:
- Thể nguyên phát: Chiếm phần lớn trường hợp, đôi khi có tính chất gia đình.
- Thể thứ phát: Sau khi mắc một số bệnh như cường tuyến cận giáp, nhiễm thiết huyết tố, đái tháo đường, bệnh gout, suy tuyến giáp.
Triệu chứng
- Thể tiềm tàng: chỉ được phát hiện trên X-quang do được chụp tình cờ (do kiểm tra một bệnh khác).
- Thể giả gout (có biểu hiện giống như bệnh gút – một bệnh có axit uric máu cao): có những cơn viêm cấp ở một vài khớp (gối, cổ chân, cột sống), sưng đau xuất hiện đột ngột, mức độ viêm nhiều, sốt cao…, viêm có thể xuất hiện sau chấn thương, sau mổ. Tình trạng viêm cũng diễn biến nhanh chóng và nhạy cảm với Colchicin. Xét nghiệm có axit uric máu bình thường.
- Thể đa khớp: viêm có xu hướng kéo dài ở nhiều khớp nhỡ và nhỏ, đối xứng, bệnh cảnh rất giống với viêm khớp dạng thấp (chẩn đoán dựa vào chụp Xquang).
- Thể giống hư khớp: đau và hạn chế vận động ngày càng tăng dần ở một vài khớp, vận động có thể thấy tiếng lắc rắc. Trên phim Xquang thấy hình ảnh hư khớp và hình ảnh vôi hóa sụn khớp.
- Các thể khác: thể tràn dịch khớp, thể tràn máu khớp, thể có nhiều dị vật trong ổ khớp, thể phá hủy khớp (thấy có tổn thương bào mòn, phá hủy một phần đầu xương làm lệch trục, biến dạng khớp), thể cột sống: thấy hình ảnh vôi hóa đĩa đệm và các dây chằng quanh cột sống.
Lưu ý:
Vôi hóa sụn khớp có nhiều biểu hiện khác nhau, dễ chẩn đoán nhầm với các bệnh khớp khác, nhưng dấu hiệu Xquang thì rất đặc trưng và đó là cơ sở để chẩn đoán xác định bệnh.
Khá nhiều trường hợp không có dấu hiệu lâm sàng.
Nguyên nhân gây bệnh
Có hai dạng tinh thể canxi chính có thể gây viêm và đau khớp, gồm tinh thể pyrophosphate canxi và tinh thể canxi apatite. Tinh thể pyrophosphate canxi thường tích tụ trong sụn khớp và là nguyên nhân gây sụn khớp vôi hóa.
Ngược lại, các tinh thể canxi apatite thỉnh thoảng xuất hiện trong sụn, nhưng thường lắng đọng ở gân cơ, gây vôi hóa gân cơ hoặc dây chằng. Đôi khi, sụn khớp vôi hóa có thể do cả hai tinh thể gây ra.
Đối tượng nguy cơ
Đây là bệnh lý dễ gặp ở người cao tuổi. Vì tuổi càng cao, các khớp xương dễ bị thoái hóa nên dễ phát bệnh hơn so với người trẻ. Tỷ lệ nữ mắc bệnh nhiều hơn nam giới và thường phát bệnh vào độ tuổi từ 35 trở đi.
Ngoài ra, các yếu tố làm tăng nguy cơ vôi hóa ở sụn khớp bao gồm:
- Tuổi tác: Tuổi càng cao nguy cơ mắc càng nhiều
- Chấn thương: Các chấn thương nhỏ nhưng lặp đi lặp lại trong thời gian dài có nguy cơ cao gây sụn khớp bị vôi hóa, chẳng hạn như chấn thương do lao động lặp đi lặp lại 1 động tác, ảnh hưởng của máy rung cầm tay ở công nhân trong các hầm mỏ, công nhân đóng tàu…
- Thói quen sinh hoạt: Ít vận động thể lực, ngồi nhiều, đứng lâu, các tư thế xâu trong sinh hoạt và làm việc…

Chẩn đoán
Sụn khớp vôi hóa có nhiều biểu hiện khác nhau, dễ chẩn đoán nhầm với các bệnh khớp khác và khá nhiều trường hợp không có bất kỳ triệu chứng gì. Tuy nhiên, dấu hiệu Xquang thì rất đặc trưng và đó là cơ sở để chẩn đoán xác định bệnh.
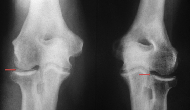
Dấu hiệu X quang: Hình ảnh cơ bản của sụn khớp bị vôi hóa là hiện tượng lắng đọng canxi ở sụn khớp và tổ chức xơ – sụn, tạo thành một lớp mỏng nhìn thấy trên phim như là được “khảm” vào sụn.
Các khớp thường gặp theo thứ tự như sau:
- Khớp gối: Gặp 90% các trường hợp, hình cản quang thành một đường song song với lớp xương dưới sụn và nằm ở khoảng giữa, cách xương 3 – 4 cm. Trên phim chụp nghiêng, đường cản quang thấy ở lồi cầu xương đùi tạo hình 2 đường viền. Hình lắng canxi có thể thấy ở sụn chêm (hình tam giác), ở túi dưới cơ tứ đầu đùi của bao hoạt dịch khớp gối.
- Khớp cổ tay: Hình ảnh cản quang ở các khe giữa xương tháp và bán nguyệt, giữa mặt dưới xương trụ và xương bán nguyệt.
- Khớp mu: Hình cản quang giữa khớp mu.
- Khớp vai: Hình chỏm xương cánh tay hai đường viền.
- Khớp háng và các khớp khác: Đều có thể thấy nhưng ít gặp hơn.
- Cột sống: Canxi lắng tạo nên cản quang cả ở phần vòng xơ và phần nhân nhầy, đoạn lưng – thắt lưng thấy nhiều hơn các đoạn khác.

Xét nghiệm dịch khớp: Sự xuất hiện tinh thể pyrophosphat canxi ở dịch khớp: Đó là những tinh thể hình gậy hai đầu vuông góc, ngắn, có thể lưỡng triết quang nằm ở trong và ngoài tế bào.
Có nhiều bạch cầu đa nhân trung tính.
Phòng ngừa bệnh
Vôi hóa sụn khớp rất dễ xảy ra ở người cao tuổi và gây ảnh hưởng lớn đến khả năng vận động. Nếu chẳng may mắc phải bệnh lý này, bạn cần lưu ý những điều sau đây để quá trình điều trị bệnh nhanh chóng chuyển biến tốt:
- Thay đổi lối sống theo hướng tích cực trong suốt quá trình điều trị bệnh. Các thói quen xấu mà bạn nên loại bỏ là khuân vác vật nặng, làm việc quá sức, duy trì một tư thế trong thời gian dài, thức khuya,…
- Ăn uống khoa học giúp quá trình phục hồi tổn thương tại sụn khớp diễn ra tốt hơn. Nên tiêu thụ các loại thực phẩm lành mạnh như rau xanh, trái cây tươi, sữa, các loại hạt và đậu,…
- Thực đơn ăn uống hàng ngày cần hạn chế sử dụng các món chiên xào nhiều dầu mỡ, đồ ăn chế biến sẵn, đồ ăn quá mặn hoặc quá ngọt,… Nói không với nhóm thực phẩm chứa chất kích thích như rượu bia, thuốc lá,…
- Tâm lý cũng tác động rất lớn đến quá trình tiến triển của bệnh. Vì vậy, người bệnh phải luôn giữ tinh thần thoải mái lạc quan, tránh tình trạng bị căng thẳng lo âu quá độ.
- Dành thời gian tập luyện thể dục thể thao mỗi ngày để làm tăng lưu thông máu đến khớp và giúp khớp hoạt động trơn tru hơn. Nên tập luyện với cường độ phù hợp, tránh các bài tập tác động mạnh lên khớp.
- Sử dụng thuốc điều trị theo đúng chỉ định của bác sĩ chuyên khoa, không tự ý ngưng hoặc uống thêm thuốc. Nhanh chóng đến bệnh viện nếu thấy cơ thể xuất hiện thêm triệu chứng bất thường.
Điều trị như thế nào?
Khi thấy bản thân có các dấu hiệu của bệnh, bạn cần nhanh chóng liên hệ với bác sĩ để được kiểm tra và tư vấn phương pháp điều trị.
Điều trị đúng cách ngay từ sớm sẽ ngăn ngừa bệnh chuyển biến sang giai đoạn nặng và giúp quá trình phục hồi diễn ra nhanh chóng hơn.
Sau khi đã có chẩn đoán chính xác, bác sĩ sẽ dựa vào đó để lên phác đồ điều trị sao cho phù hợp.
- Với những trường hợp viêm cấp: bác sĩ sẽ yêu cầu sử dụng thuốc Colchicin hoặc thuốc chống viêm không steroid để cải thiện triệu chứng của bệnh. Sau khi cơn viêm cấp đã được kiểm soát, bác sĩ sẽ dựa vào thể bệnh mà bạn đang mắc phải để tư vấn phương pháp điều trị. Cụ thể là:
- Với thể đa khớp hoặc hư khớp: Bác sĩ sẽ yêu cầu dùng thuốc chống viêm steroid hoặc tiêm steroid để cải thiện các triệu chứng của bệnh.
- Thể phá hủy xương: Với những trường hợp khớp bị tổn thương nghiêm trọng, ngoài điều trị nội khoa bác sĩ còn yêu cầu người bệnh nên tiến hành cấy ghép khớp nhân tạo để phục hồi chức năng khớp.
- Thể thứ phát: Người bệnh cần điều trị dứt điểm bệnh lý gây ra tình trạng này để tình trạng vôi hóa sụn khớp được khắc phục hoàn toàn
Với người bệnh điều trị bằng thuốc, phải sử dụng theo đúng liều lượng của bác sĩ, không tự ý ngưng thuốc hoặc uống thêm thuốc khi không có sự cho phép của bác sĩ.
Nên đến phòng khám nếu cơ thể bắt đầu xuất hiện những triệu chứng đau khác trên cơ thể để kịp thời chữa trị.
Lưu ý: Thông tin trong bài viết chỉ mang tính chất tham khảo, vui lòng liên hệ với Bác sĩ, Dược sĩ hoặc Chuyên viên Y tế để được tư vấn cho từng trường hợp Bệnh cụ thể, tuyệt đối không làm theo hướng dẫn trong bài viết.



