More
    HomeBệnhViêm nha chu là gì? Dấu hiệu, nguyên nhân, chẩn đoán và...

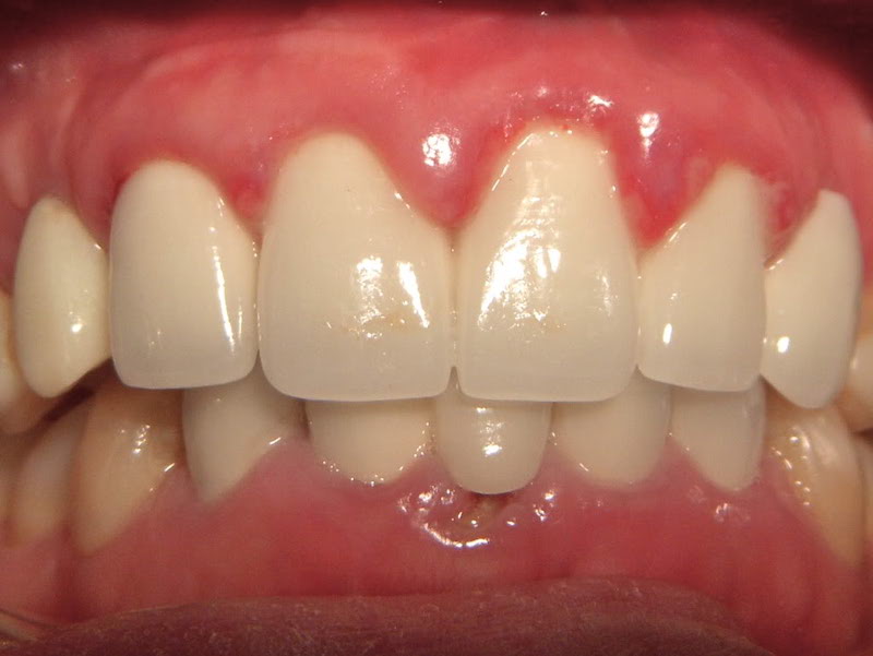
    Viêm nha chu là gì? Dấu hiệu, nguyên nhân, chẩn đoán và điều trị

    - Advertisement -spot_img




    Theo Pharmacity

    Lưu ý: Thông tin trong bài viết chỉ mang tính chất tham khảo, vui lòng liên hệ với Bác sĩ, Dược sĩ hoặc Chuyên viên Y tế để được tư vấn cho từng trường hợp Bệnh cụ thể, tuyệt đối không làm theo hướng dẫn trong bài viết.

    - Advertisement -spot_img
    Stay Connected
    16,985FansLike
    2,458FollowersFollow
    61,453SubscribersSubscribe
    Tin mới
    - Advertisement -spot_img
    Bài viết liên quan
    - Advertisement -spot_img