Giữa những bộ phận quan trọng trong cơ thể, gan đóng vai trò vô cùng thiết yếu trong việc thanh lọc máu, sản xuất protein, dự trữ năng lượng và nhiều chức năng quan trọng khác. Tuy nhiên, gan cũng là nơi tiềm ẩn nguy cơ mắc nhiều căn bệnh nguy hiểm, một trong số đó là phình động mạch gan. Bài viết này sẽ cung cấp cho bạn đầy đủ thông tin khoa học, dễ hiểu về căn bệnh này, từ nguyên nhân, triệu chứng, đối tượng nguy cơ, chẩn đoán, phòng ngừa đến điều trị, giúp bạn có cái nhìn tổng quan và cách tiếp cận điều trị hiệu quả.
Tổng quan chung
Phình động mạch gan là gì?
Phình động mạch xảy ra khi thành động mạch yếu đi, khiến nó phình to một cách cục bộ và quá mức. Phình động mạch gan là hiếm gặp, chiếm dưới 1% trong tổng số các phình động mạch, với tỷ lệ mắc là 0,002% trong một nghiên cứu trên hơn 2 triệu bệnh nhân. Hầu hết các phình động mạch gan là ngoài gan, nghĩa là chúng xảy ra bên ngoài gan. Phình động mạch gan thường gặp hơn ở nam giới.
Triệu chứng phình động mạch gan
Phình động mạch gan (HAA) là một bệnh hiếm gặp. HAA thường là bệnh không có triệu chứng, khi có triệu chứng, chúng thường biểu hiện bằng đau bụng, xuất huyết tiêu hóa trên và/hoặc vàng da, tình trạng giảm thể tích máu thứ phát do vỡ hoặc xuất huyết tiêu hóa với nội soi tiêu hóa bình thường.
Nguyên nhân phình động mạch gan
Nguyên nhân phổ biến nhất của phình động mạch gan được cho là xơ vữa động mạch (lên đến 50%), tiếp theo là hoại tử lớp trung mạc nang và chấn thương (mỗi nguyên nhân chiếm khoảng 20–25%).
Các yếu tố nguy cơ khác bao gồm:
- Viêm tụy.
- Sử dụng thuốc lá.
- Bệnh tiểu đường.
- Bệnh tự miễn.
- Tăng huyết áp.
- Bệnh mạch máu.
Đối tượng nguy cơ phình động mạch gan
Phình động mạch gan (HAAs) là một rối loạn mạch máu hiếm của gan, chiếm ít hơn 1% trong tổng số các phình động mạch. Là một trong những bệnh lý rất hiếm gặp ở gan. Một số yếu tố có thể gây phình động mạch gan như:
- Người bị viêm tụy
- Hay hút thuốc lá
- Bệnh tiểu đường
- Tăng huyết áp
Chẩn đoán phình động mạch gan
Thông thường, chẩn đoán được thực hiện thông qua một hoặc nhiều phương pháp hình ảnh. Do thiếu triệu chứng đặc hiệu của phình động mạch gan, việc chẩn đoán lâm sàng mà không có hình ảnh có thể gặp khó khăn.
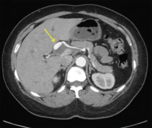
- Chụp cắt lớp vi tính (CT): Một loạt các hình ảnh X-quang được chụp từ các góc khác nhau của cơ thể, tạo ra hình ảnh chi tiết về các cơ quan, mô hoặc xương. Quá trình chụp CT mất khoảng 10–20 phút để hoàn thành.
- Chụp mạch: Một loại X-quang đặc biệt được sử dụng để điều tra các mạch máu. Đầu tiên, một loại thuốc nhuộm đặc biệt sẽ được tiêm vào để nhìn rõ các mạch máu. Sau đó, một ống mỏng, linh hoạt (catheter) sẽ được đưa vào một trong những mạch máu qua một vết mổ nhỏ.
- Siêu âm: Phương pháp siêu âm sử dụng sóng âm để tạo ra hình ảnh của cơ thể. Siêu âm gan có thể cho thấy dòng chảy máu trong gan, cũng như sự hiện diện của gan nhiễm mỡ, xơ gan (sẹo) và các tình trạng khác.
- X-quang bụng: X-quang là một phương pháp hình ảnh rất đa năng, tạo ra hình ảnh của các cơ quan nội tạng cho mục đích chẩn đoán. Chúng sử dụng năng lượng điện để tạo ra các hình ảnh này.
- Chụp cộng hưởng từ (MRI): MRI là viết tắt của hình ảnh cộng hưởng từ và cung cấp hình ảnh 3D chi tiết về giải phẫu cơ thể. Nó sử dụng nam châm mạnh để giúp phát hiện và chẩn đoán các tình trạng sức khỏe khác nhau, bao gồm cả phình động mạch gan.

Phòng ngừa bệnh phình động mạch gan
Hiện tại, chưa có biện pháp phòng ngừa phình động mạch gan hiệu quả. Tuy nhiên, các bạn có thể tham khảo một số biện pháp sau:
- Tránh các yếu tố có thể gây phình động mạch gan như hút thuốc lá, kiểm soát tốt các bệnh lý kèm theo như tăng huyết áp, bệnh tiểu đường, bệnh viêm tụy,…
- Tập thể dục thể thao một cách khoa học tránh vận động mạnh
- Xây dựng một chế độ ăn uống lành mạnh
- Đi khám sức khỏe định kỳ và nếu đang gặp phải các bệnh lý liên quan tới yếu tố nguy cơ thì nên tuân theo chỉ định của bác sĩ
Điều trị phình động mạch gan như thế nào?
Đối với phình động mạch gan chưa vỡ nứt, một ca phẫu thuật có thể cần thiết cho hầu hết các trường hợp, đặc biệt là nếu phình động mạch lớn hơn 0.78 inch. Việc lựa chọn phương pháp điều trị phù hợp nhất phụ thuộc vào kích thước và vị trí của phình động mạch.
Tuy nhiên, việc điều trị bằng phương pháp cận mạch được ưu tiên, vì phẫu thuật mở để sửa chữa phình động mạch gan khi vỡ nứt mang theo một gánh nặng cao về tử vong và tình trạng bệnh. Đối với phình động mạch gan nội gan, tắc nghẽn qua da thường là phương pháp điều trị hàng đầu. Lưu ý rằng không phải lúc nào phình động mạch cũng cần phải được điều trị.
Một số phương pháp điều trị bao gồm:
- Sửa chữa cận mạch: một phương pháp ít xâm lấn sử dụng một vết cắt nhỏ để đưa các ống dẫn dài, mảnh qua mạch máu.
- Tắc nghẽn qua da: dừng chảy máu đến một mạch máu cụ thể. Điều này được đạt được bằng cách đặt một chất liệu trong mạch máu để ngăn chảy máu qua đó. Các thủ tục tắc nghẽn ít xâm lấn hơn so với phẫu thuật.
- Các lựa chọn phẫu thuật mở bao gồm: gắn buộc động mạch: buộc nghẽn một động mạch để làm chậm hoặc ngừng chảy máu, cũng như phẫu thuật cắt bỏ một phần gan hoặc thậm chí là cắt gan.
Sau khi điều trị, có thể bạn sẽ cần phải có một số cuộc kiểm tra ngoại trú để đánh giá tiến triển và xem cách phục hồi của bạn diễn ra như thế nào. Khung thời gian phục hồi khác nhau từ người này sang người khác cũng như loại phẫu thuật, nhưng hãy mong đợi mất vài tuần nghỉ việc thường ngày để cơ thể có cơ hội nghỉ ngơi và hồi phục.
Hi vọng với những chia sẻ trên sẽ giúp các bạn hiểu hơn về phình động mạch gan.
Xin lưu ý: Thông tin trong bài viết chỉ mang tính chất tham khảo. Độc giả vui lòng liên hệ với Bác sĩ, Dược sĩ hoặc chuyên viên y tế để được tư vấn cụ thể và chính xác nhất.
Lưu ý: Thông tin trong bài viết chỉ mang tính chất tham khảo, vui lòng liên hệ với Bác sĩ, Dược sĩ hoặc Chuyên viên Y tế để được tư vấn cho từng trường hợp Bệnh cụ thể, tuyệt đối không làm theo hướng dẫn trong bài viết.



