Bệnh viêm đa cơ (Dermatomyositis) là bệnh có viêm cơ kèm theo tổn thương da hoặc không. Viêm đa cơ là bệnh tự miễn và đáp ứng với thuốc ức chế miễn dịch. Bệnh có thể xuất hiện ở mọi lứa tuổi, thường gặp ở lứa tuổi thiếu niên (10-15 tuổi) và tuổi trung niên (45-60 tuổi), nữ giới mắc bệnh nhiều hơn nam giới. Tỷ lệ mắc bệnh viêm đa cơ trong cộng đồng ước tính 5-10 trường hợp/1 triệu dân.
Tổng quan chung
Viêm đa cơ là một dạng bệnh mô liên kết hiếm gặp, gây viêm ở nhiều cơ. Đặc điểm đáng chú ý nhất của bệnh là gây yếu cơ, đặc biệt là những cơ gần thân người nhất, như cơ vùng bả vai và khớp háng.
Viêm đa cơ có nhiều dạng khác nhau, nhưng thường gặp nhất là viêm đa cơ do tự miễn dịch. Bệnh khi chỉ có biểu hiện ở cơ được gọi là viêm đa cơ, còn khi đi kèm tổn thương ở da gọi là viêm da cơ. Cả 2 thể bệnh trên về bản chất là giống nhau. Bệnh có thể gặp phải ở mọi lứa tuổi nhưng thường gặp nhất ở lứa tuổi thiếu niên (10-15 tuổi) và tầm tuổi trung niên (45-60 tuổi). Tỷ lệ mắc bệnh ở nữ giới cao hơn nam giới. Tỷ lệ mắc bệnh trong cộng đồng ước tính là 5-10 trường hợp/1 triệu dân.
Triệu chứng
Triệu chứng của viêm đa cơ thường khởi phát một cách từ từ và có thể không rõ ràng trong giai đoạn đầu. Dưới đây là những triệu chứng phổ biến:
- Yếu cơ: Đây là triệu chứng chính và thường bắt đầu ở các cơ gần trục cơ thể. Người bệnh có thể cảm thấy khó khăn khi nâng đồ vật, đứng dậy từ ghế hoặc leo cầu thang.
- Đau cơ: Một số người bệnh có thể trải qua cảm giác đau nhức ở cơ bị viêm.
- Mệt mỏi: Sự mệt mỏi toàn thân là triệu chứng thường gặp, do cơ bị yếu và viêm.
- Khó nuốt: Viêm đa cơ có thể ảnh hưởng đến các cơ tham gia vào quá trình nuốt, gây ra khó khăn trong việc ăn uống.
- Khó thở: Trong trường hợp nặng, viêm đa cơ có thể làm yếu các cơ tham gia vào quá trình hô hấp, gây khó thở.
Nguyên nhân
Hiện nay y học vẫn chưa xác định rõ nguyên nhân chính xác gây bệnh. Tuy nhiên, các nhà nghiên cứu tin rằng bệnh có thể liên quan đến các yếu tố sau:
- Yếu tố di truyền: Một số gen nhất định có thể làm tăng nguy cơ phát triển bệnh.
- Yếu tố môi trường: Các yếu tố như nhiễm virus hoặc vi khuẩn có thể kích hoạt hệ thống miễn dịch tấn công các mô cơ.
- Rối loạn miễn dịch: Viêm đa cơ là một loại bệnh tự miễn, nghĩa là hệ thống miễn dịch của cơ thể tấn công nhầm vào các tế bào cơ khỏe mạnh. Nhiều người mắc viêm đa cơ có nồng độ tự kháng thể cao trong máu. Tuy nhiên đến nay các chuyên gia chưa xác định rõ liệu những tự kháng thể này có thực sự gây viêm đa cơ hay không.
Đối tượng nguy cơ
Hầu hết mọi đối tượng, mọi lứa tuổi đều có khả năng bị viêm đa cơ. Tuy nhiên, một số trường hợp có nguy cơ mắc bệnh cao hơn đó là:
- Giới tính: Phụ nữ thường có nguy cơ mắc bệnh cao hơn nam giới.
- Tuổi tác: Bệnh thường xuất hiện ở người trưởng thành, đặc biệt là từ 30 đến 60 tuổi.
- Yếu tố di truyền: Những người có người thân trong gia đình mắc các bệnh tự miễn có nguy cơ cao hơn.
- Màu da: Người da đen có nguy cơ mắc bệnh cao hơn các màu da khác.
Yếu tố làm tăng nguy cơ mắc phải viêm đa cơ
- Rối loạn hệ thống miễn dịch.
- Người nhiễm virus: viêm gan B, virus lymphotropic tế bào T gây bệnh ở người type 1 (HTLV-1), Echovirus, Adenovirus, virus cúm,…
- Rối loạn mô liên kết .
- Mắc phải một số bệnh như lupus, viêm đa khớp dạng thấp, xơ cứng bì hoặc hội chứng Sjogren.
- Sử dụng một số thuốc: D-penicillamine, phenytoin, hydralazine, procainamide và thuốc ức chế men chuyển angiotensin có liên quan đến bệnh viêm đa cơ.
Chẩn đoán
Khi người bệnh đến khám chuyên khoa, bác sĩ sẽ kết hợp giữa biểu hiện lâm sàng của người bệnh và hỏi bệnh. Sau khi khám xong, bác sĩ sẽ hướng dẫn người bệnh thực hiện các xét nghiệm chuyên khoa như:
- Xét nghiệm máu phát hiện các enzyme cơ trong huyết thanh tăng cao như CK, GOT, GPT… ngoài ra còn có kháng thể kháng nhân dương tính, gặp các kháng thể đặc hiệu với viêm cơ tự miễn trong cơ thể.
- Điện cơ đồ (EMG) cho thấy các hình ảnh điện thế phức tạp, biên độ thấp, yếu cơ, cơ dễ bị kích thích.
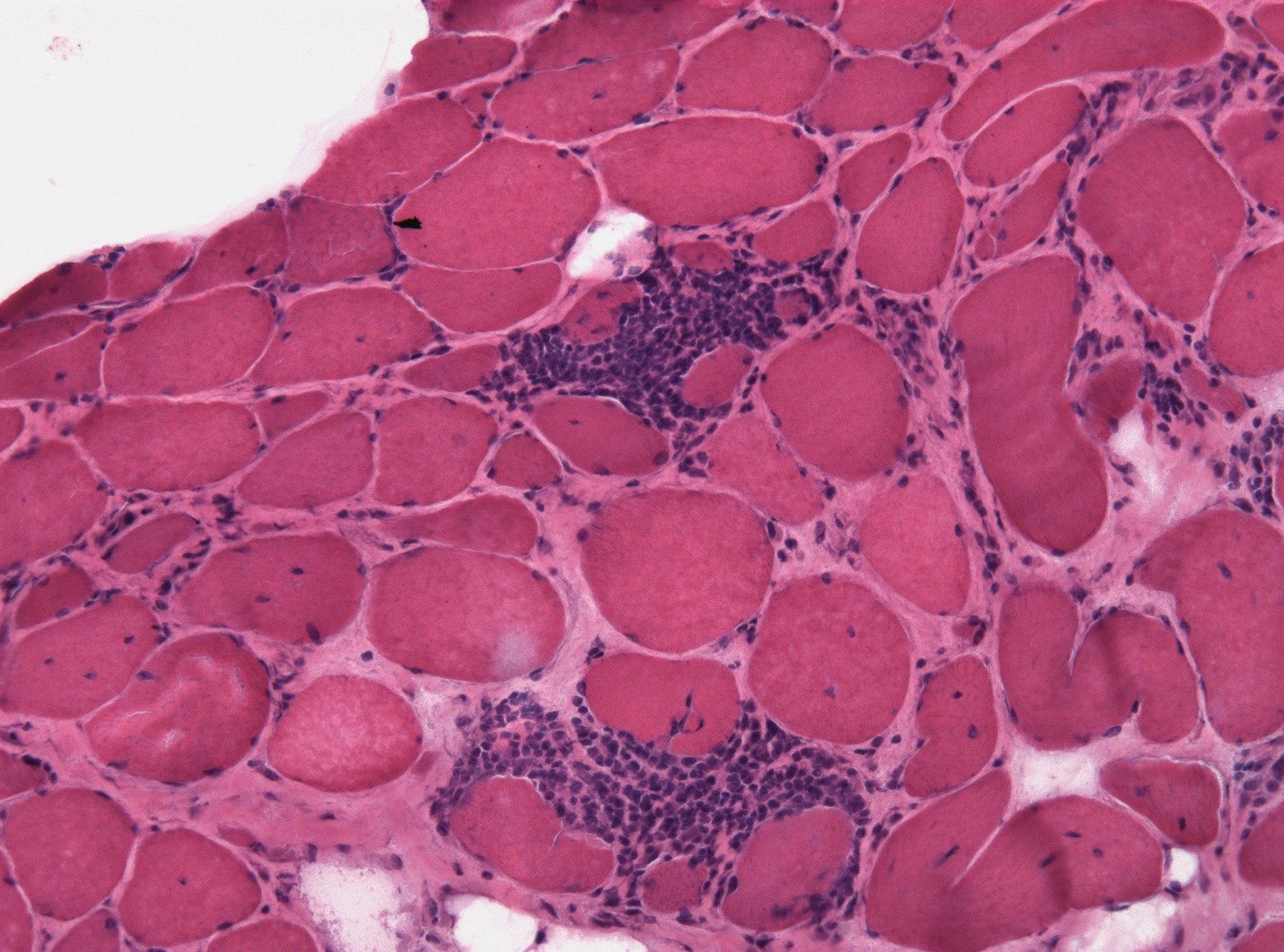
- Sinh thiết cơ thấy hình ảnh bất thường của cơ, có xâm lấn, thoái hóa và hoại tử, Có xuất hiện teo các tổ chức xung quanh, theo tiến triển bệnh sẽ dẫn đến việc các tổ chức xơ thay thế các tổ chức cơ bị hoại tử làm chia tách bó cơ.
- Sinh thiết da cho kết quả thâm nhiễm, teo da, thoái hóa các tổ chức của da.
- Kiểm tra bằng kỹ thuật chẩn đoán hình ảnh, chụp CT, đo chức năng hô hấp giúp cho việc xác định tổn thương và xâm lấn để có biện pháp điều trị đạt kết quả cao.

Phòng ngừa bệnh
Hiện tại chưa có biện pháp phòng ngừa đặc hiệu cho viêm đa cơ do nguyên nhân cụ thể của bệnh vẫn chưa được hiểu rõ. Tuy nhiên, việc duy trì một lối sống lành mạnh và thực hiện các biện pháp dưới đây có thể giúp giảm nguy cơ và quản lý bệnh hiệu quả:
- Tập thể dục đều đặn: Giúp duy trì sức mạnh cơ bắp và giảm viêm.
- Ăn uống cân đối: Chế độ ăn giàu chất dinh dưỡng, đặc biệt là protein và các loại vitamin.
- Quản lý căng thẳng: Giúp duy trì hệ miễn dịch khỏe mạnh.
- Kiểm tra sức khỏe định kỳ: Phát hiện sớm các dấu hiệu bất thường và điều trị kịp thời.
Điều trị như thế nào?
Hiện không có cách nào chữa khỏi hoàn toàn bệnh viêm đa cơ. Tuy nhiên, thuốc và vật lý trị liệu có thể cải thiện sức mạnh và chức năng của cơ bắp. Việc điều trị sớm sẽ có hiệu quả và ít dẫn đến biến chứng hơn.
Không có phương pháp điều trị cố định nào cho bệnh viêm đa cơ. Chiến lược điều trị sẽ được điều chỉnh dựa trên triệu chứng và mức độ đáp ứng với trị liệu.
Thuốc chống viêm:
- Sử dụng corticosteroid (như prednisone) để giảm viêm cơ
- Các loại thuốc như prednison rất hiệu quả trong việc kiểm soát các triệu chứng viêm đa cơ. Nhưng việc sử dụng kéo dài các loại thuốc này có thể gây ra tác dụng phụ nghiêm trọng. Do đó bác sĩ thường giảm dần liều thuốc xuống mức thấp hơn trong quá trình điều trị.

Thuốc ức chế miễn dịch:
- Methotrexate hoặc azathioprine có thể được sử dụng để kiểm soát phản ứng miễn dịch.
- Khi kết hợp với corticosteroid, những thuốc này có thể làm giảm liều và tác dụng phụ của corticosteroid. Các loại thuốc khác cũng được kê toa bao gồm mycophenolate mofetil, cyclosporine và tacrolimus.
Liệu pháp sinh học:
- Sử dụng các loại thuốc mới như rituximab trong các trường hợp kháng điều trị thông thường.
- Được sử dụng phổ biến hơn để điều trị viêm khớp dạng thấp. Rituximab sẽ được chọn nếu liệu pháp ban đầu không kiểm soát được các triệu chứng của viêm đa cơ.
Các liệu pháp khác:
Tùy thuộc vào mức độ nghiêm trọng của các triệu chứng, bác sĩ có thể đề nghị:
- Vật lý trị liệu: Các bài tập giúp cải thiện, duy trì sức mạnh và sự linh hoạt của cơ bắp. Bác sĩ sẽ hướng dẫn mức độ luyện tập thích hợp tùy theo tình trạng bệnh.
- Ngôn ngữ trị liệu: Nhóm cơ hầu họng suy yếu, liệu pháp này giúp bù lại cho những khiếm khuyết trong lời nói.
- Đánh giá chế độ ăn uống: Khi bị viêm đa cơ, việc nhai và nuốt có thể trở nên khó khăn hơn. Một chuyên gia dinh dưỡng sẽ hướng dẫn cách chế biến các món ăn dễ ăn và bổ dưỡng.
Điều chỉnh lối sống: Duy trì một chế độ ăn uống lành mạnh và tập luyện thường xuyên.
Tiêm IVIG: Globulin miễn dịch tiêm tĩnh mạch (IVIG) là sản phẩm máu tinh khiết có chứa các kháng thể lành mạnh. Những kháng thể này sẽ ngăn chặn các kháng thể gây hại tấn công cơ bắp trong viêm đa cơ.
Kết luận
Viêm đa cơ là một bệnh lý tự miễn hiếm gặp nhưng có thể gây ảnh hưởng lớn đến chất lượng cuộc sống của người bệnh. Việc nhận biết sớm các triệu chứng và thực hiện chẩn đoán, điều trị kịp thời là rất quan trọng. Mặc dù không có biện pháp phòng ngừa đặc hiệu, việc duy trì một lối sống lành mạnh và kiểm tra sức khỏe định kỳ có thể giúp giảm nguy cơ mắc bệnh. Nếu bạn hoặc người thân có dấu hiệu của viêm đa cơ, hãy tìm đến các cơ sở y tế uy tín để được tư vấn và điều trị kịp thời. Thông qua các biện pháp điều trị hiện đại, người bệnh có thể kiểm soát tốt triệu chứng và duy trì chất lượng cuộc sống.
Lưu ý: Thông tin trong bài viết chỉ mang tính chất tham khảo, vui lòng liên hệ với Bác sĩ, Dược sĩ hoặc Chuyên viên Y tế để được tư vấn cho từng trường hợp Bệnh cụ thể, tuyệt đối không làm theo hướng dẫn trong bài viết.



